MRI of the Knee
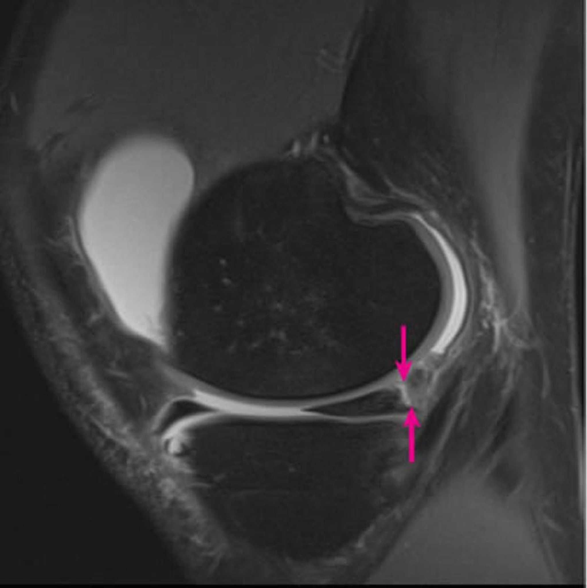
Sagittal proton density–weighted 3-tesla magnetic resonance image of the right knee shows meniscocapsular separation involving the medial meniscus posterior horn (arrows) and a large knee joint effusion (white).
Image courtesy of Hakan Ilaslan, MD.
In these topics
