Midshaft Femur Fracture (1)
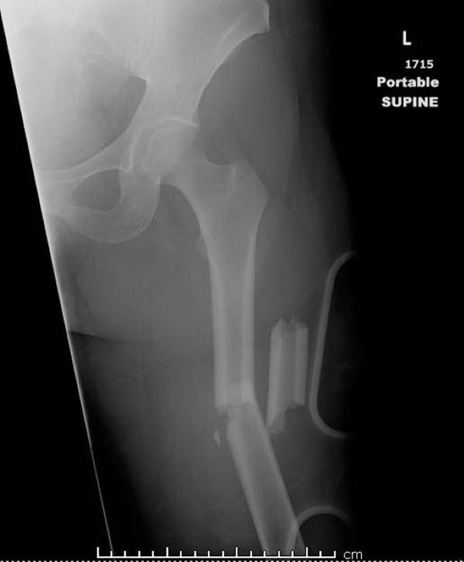
This image shows a comminuted, angulated, and shortened midshaft femur fracture.
Image courtesy of Danielle Campagne, MD.
In these topics
This image shows a comminuted, angulated, and shortened midshaft femur fracture.
Image courtesy of Danielle Campagne, MD.