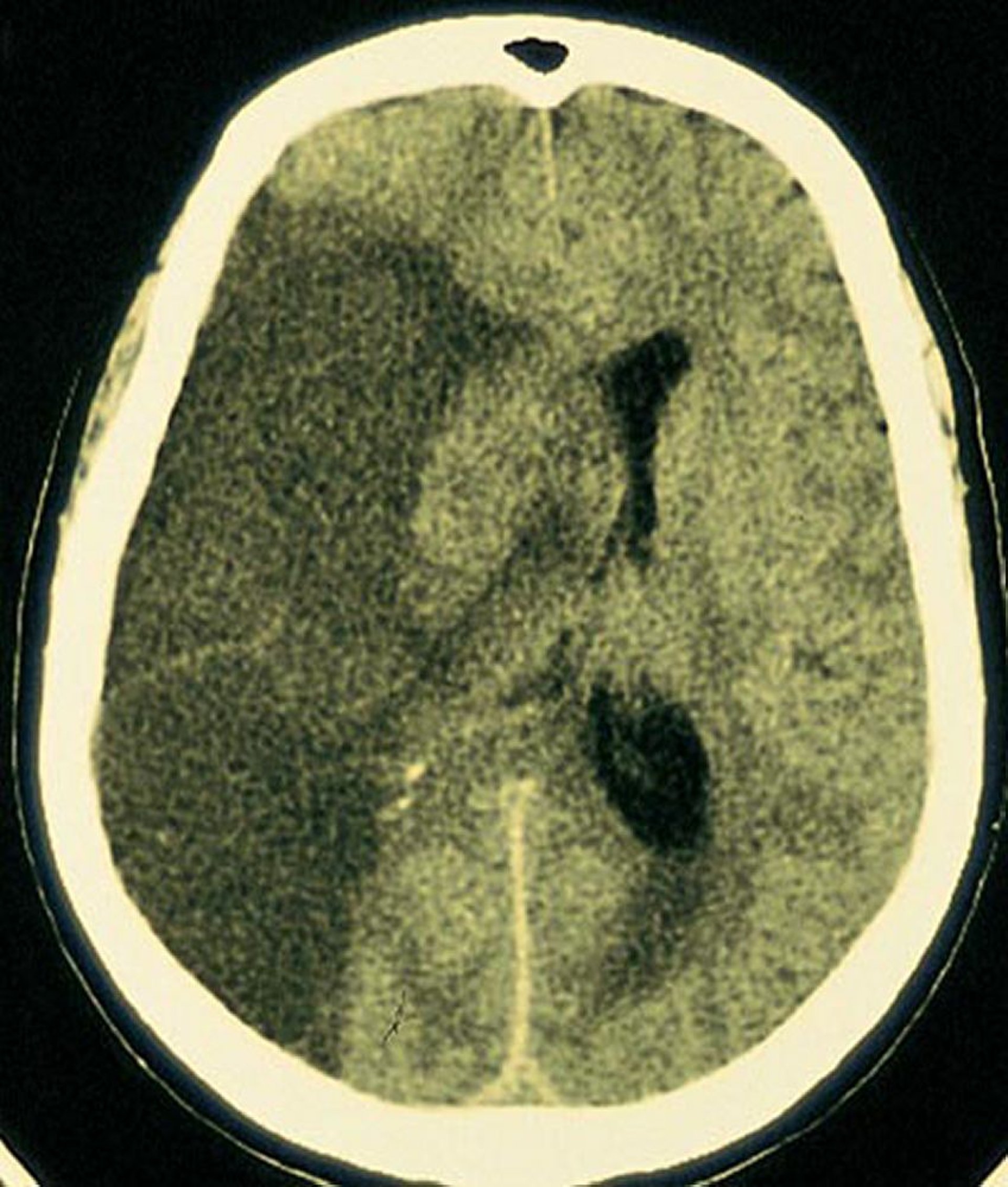
Middle Cerebral Artery Infarct
A large lucent infarction is seen in the area of brain supplied by the right middle cerebral artery.
By permission of the publisher. From Furie K, et al: Cerebrovascular disease. In Atlas of Clinical Neurology. Edited by RN Rosenberg. Philadelphia, Current Medicine, 2002.
In these topics
