Metastatic Liver Cancer
An abnormal MRI of the chest shows areas of low attenuation (marked with arrows) inside the liver. This appearance is typical of metastatic liver cancer.
Photo courtesy of Patrick O’Kane, MD.
In these topics
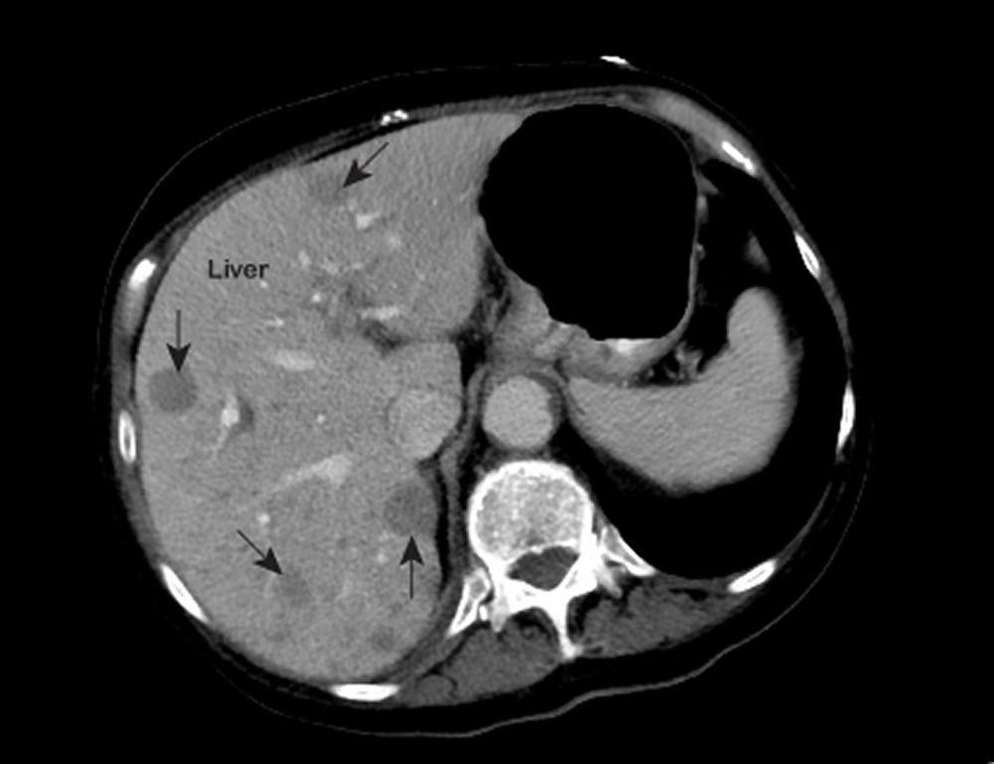
An abnormal MRI of the chest shows areas of low attenuation (marked with arrows) inside the liver. This appearance is typical of metastatic liver cancer.
Photo courtesy of Patrick O’Kane, MD.