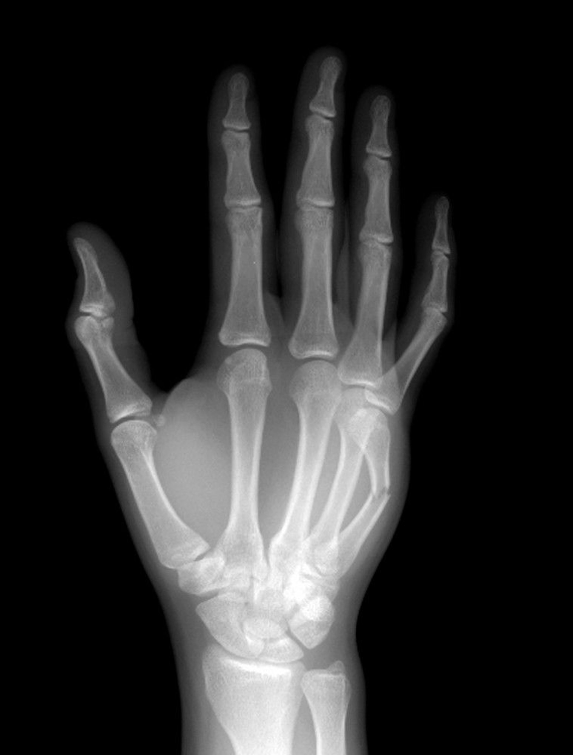
Metacarpal Neck Fracture

Metacarpal Neck Fracture

The 5th metacarpal neck bone is fractured midshaft.

LIVING ART ENTERPRISES, LLC/SCIENCE PHOTO LIBRARY