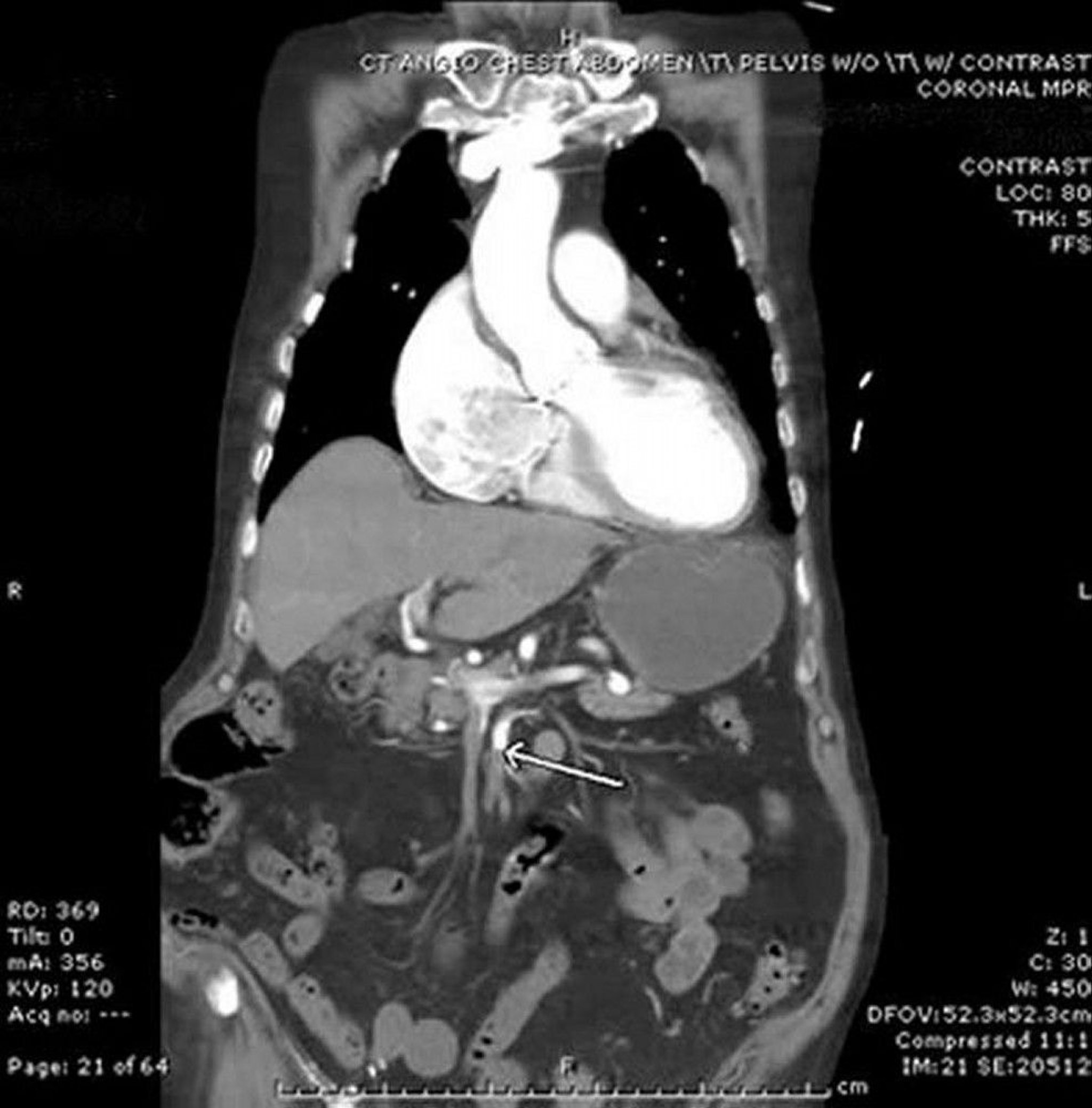
Mesenteric Ischemia (CT Angiogram)
In this image, the arrow points to the superior mesenteric artery, which has an abrupt cutoff of IV contrast. Some thickening of the small bowel in the left abdomen is seen. This case of embolism is from the heart in a patient with atrial fibrillation.
Image provided by Parswa Ansari, MD.
In these topics
