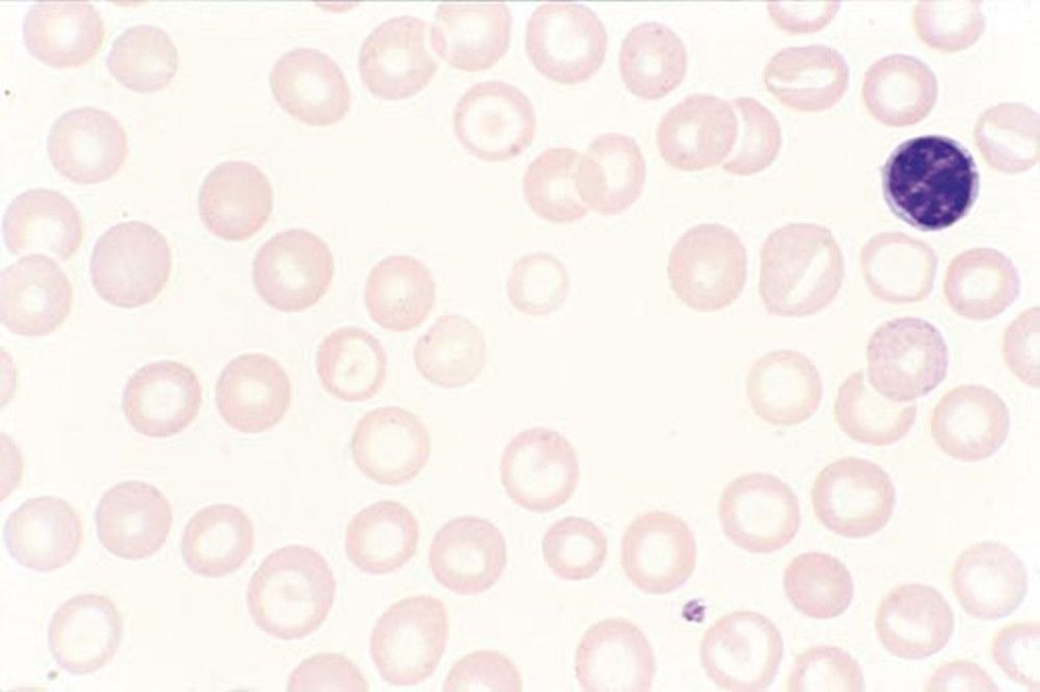
Macrocytosis in Liver Disease
This image shows nonnutritional macrocytic anemia that is not drug-induced. Round morphology of the red blood cells, as opposed to oval macrocytosis, suggests liver disease with excess red cell membrane area; target cells are also evident.
By permission of the publisher. From Tefferi A, Li C. In Atlas of Clinical Hematology. Edited by JO Armitage. Philadelphia, Current Medicine, 2004.
In these topics
