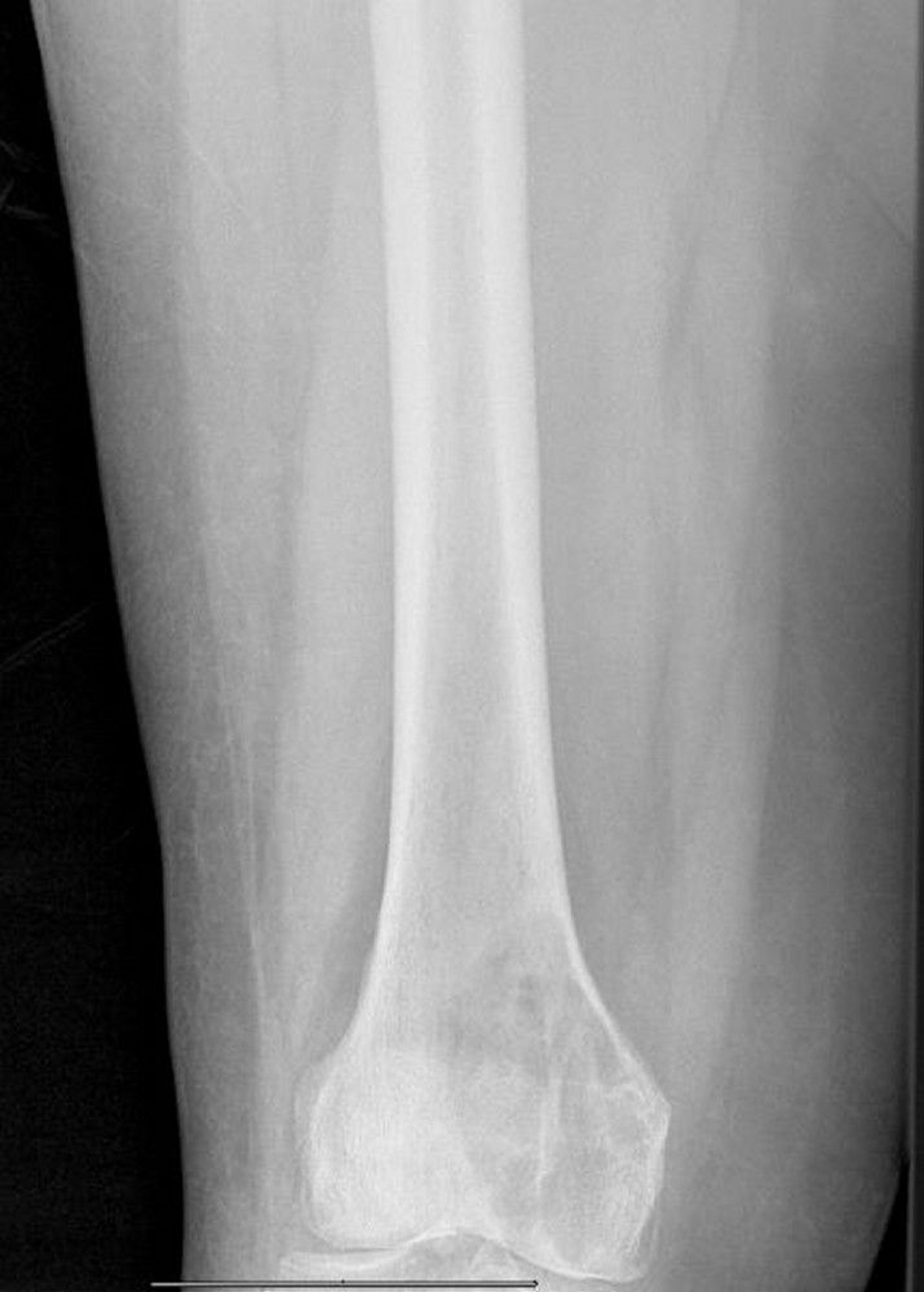
Lytic Metastasis in the Distal Femur
This radiograph shows a large metastatic lytic lesion of the femoral medial condyle with impending pathologic fracture.
Image courtesy of Michael J. Joyce, MD, and David M. Joyce, MD.
In these topics
This radiograph shows a large metastatic lytic lesion of the femoral medial condyle with impending pathologic fracture.
Image courtesy of Michael J. Joyce, MD, and David M. Joyce, MD.