Lung Abscess (CT Scan)
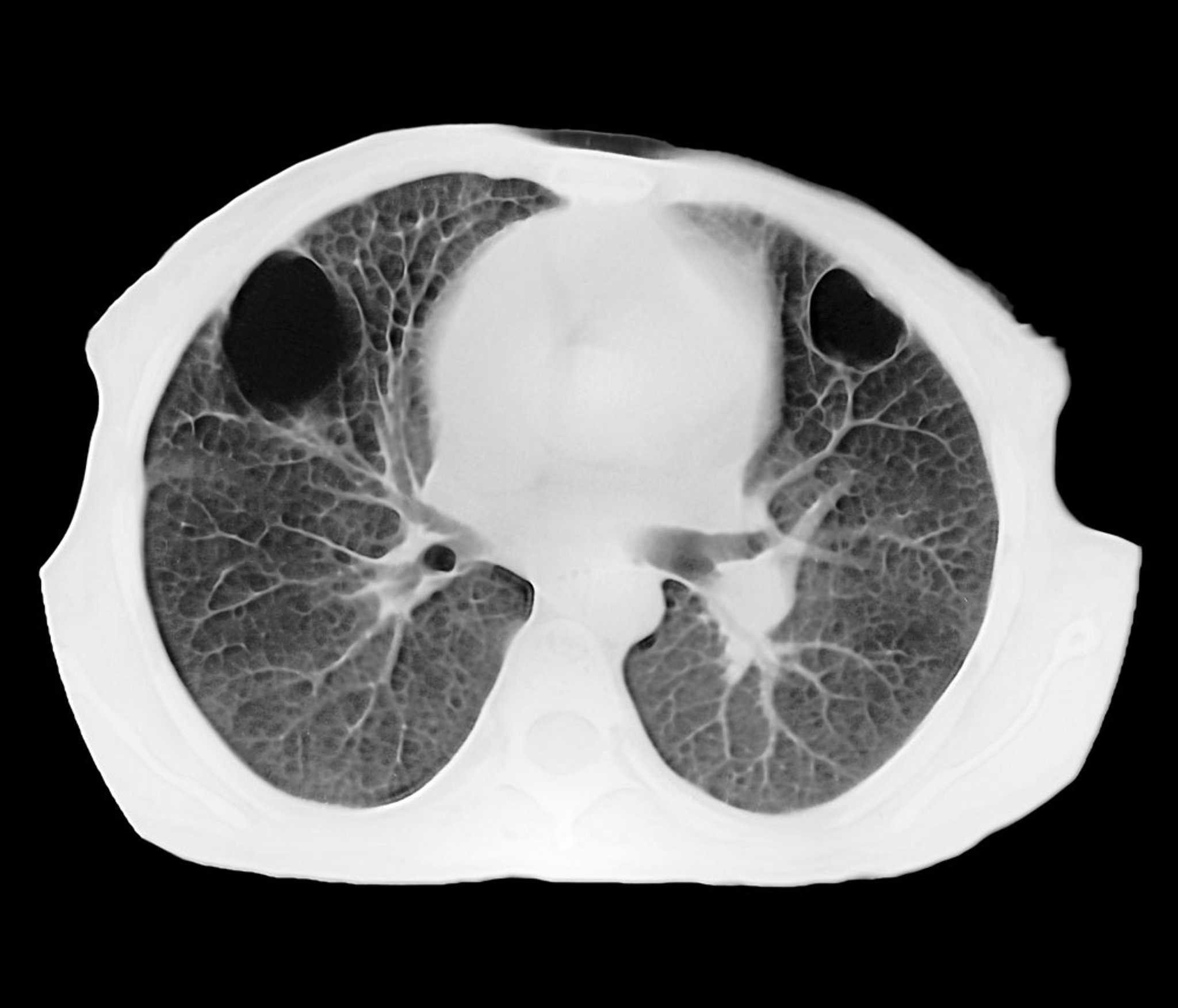
This axial CT shows 2 well-circumscribed parenchymal lung abscesses in the anterior right and left lobes. The black interior corresponds to an accumulation of pus.
ZEPHYR/SCIENCE PHOTO LIBRARY
In these topics
This axial CT shows 2 well-circumscribed parenchymal lung abscesses in the anterior right and left lobes. The black interior corresponds to an accumulation of pus.
ZEPHYR/SCIENCE PHOTO LIBRARY