Langerhans Cell Histiocytosis (Pelvic Bone)
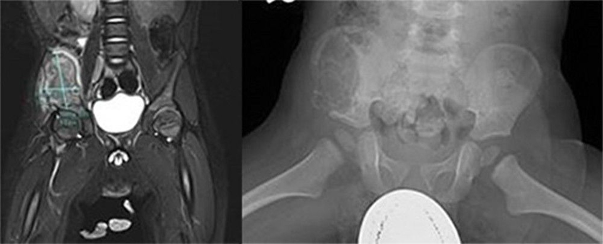
This image shows a large aggressive lesion within the right iliac wing. An MRI revealed the mass was heterogenous on T2 and low T1 signal with heterogenous enhancement of the mass and surrounding musculature with deviation of the right psoas muscle medially, suggesting an aggressive bone lesion (left). A large lytic lesion within the anterior and lateral ala of the ileum extending anterior and inferior to the ischium was visible on x-ray (right). There are expanded cortex and cortical irregularities. Biopsy was diagnostic for Langerhans cell histiocytosis.
Images courtesy of Carolyn Fein Levy, MD, and Jeffrey M. Lipton, MD, PhD.
In these topics
