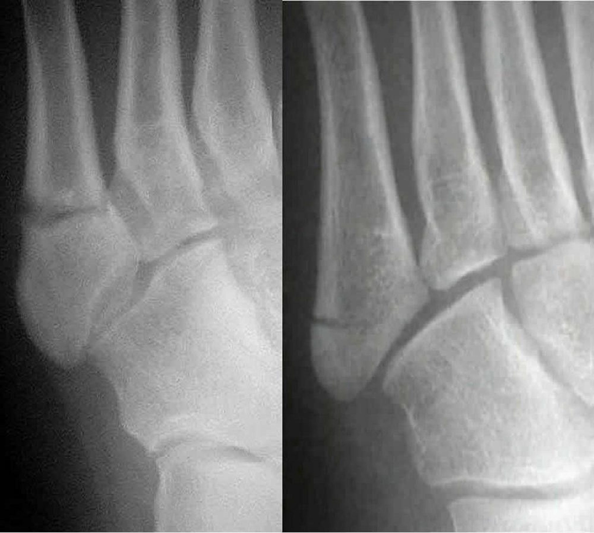
Jones vs Pseudo-Jones Fractures
A Jones fracture (left) involves the 5th metatarsal shaft; a pseudo-Jones fracture (right) involves the 5th metatarsal base. Distinguishing the two is important because they are treated differently.
Images courtesy of Danielle Campagne, MD.
In these topics
