Inclusion Body Myositis
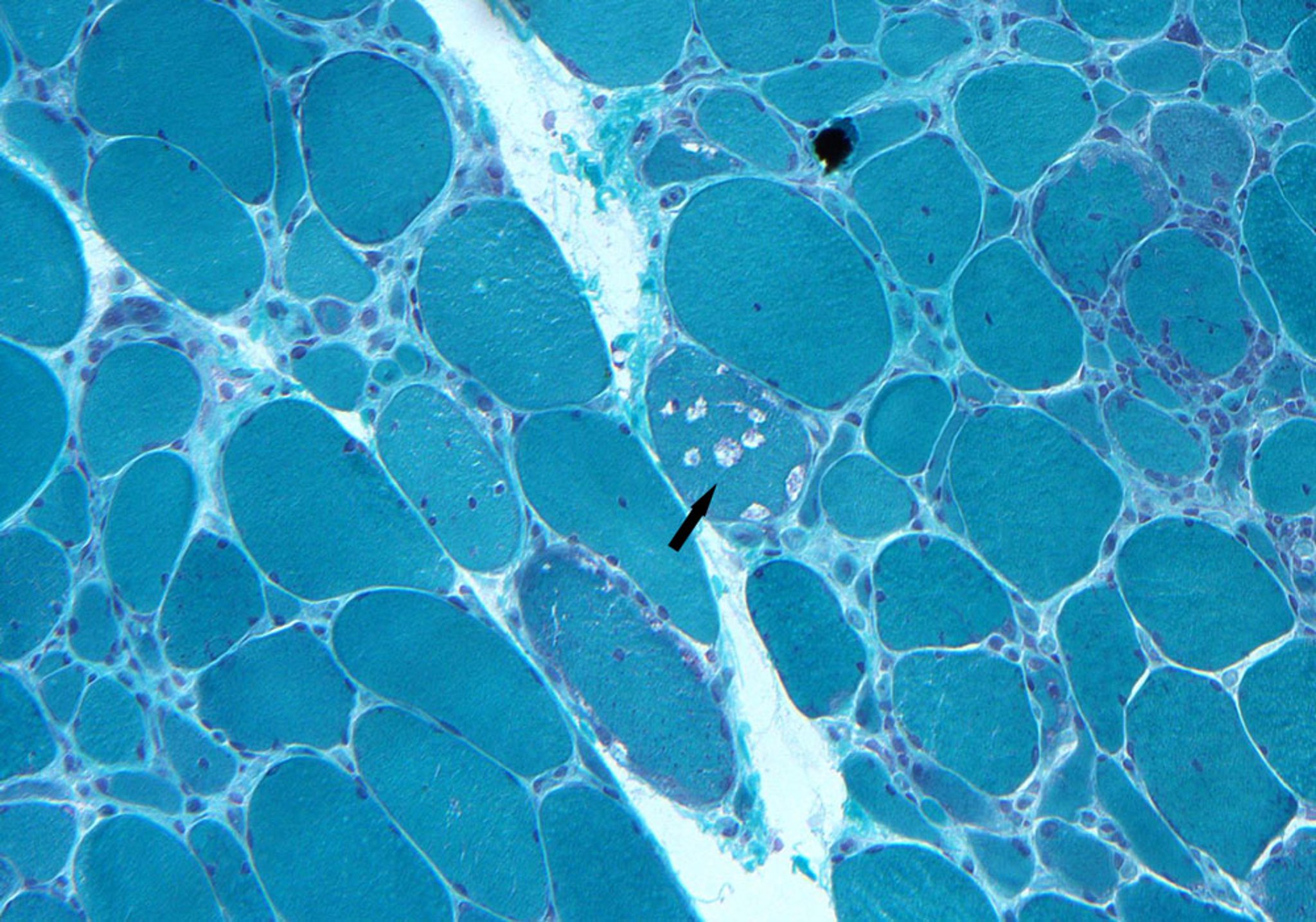
This biopsy specimen shows endomysial infiltrates, myofiber degeneration, and rimmed vacuoles (arrow).
Photo courtesy of Kinanah Yaseen, MD.
In these topics
This biopsy specimen shows endomysial infiltrates, myofiber degeneration, and rimmed vacuoles (arrow).
Photo courtesy of Kinanah Yaseen, MD.