Idiopathic Pulmonary Fibrosis
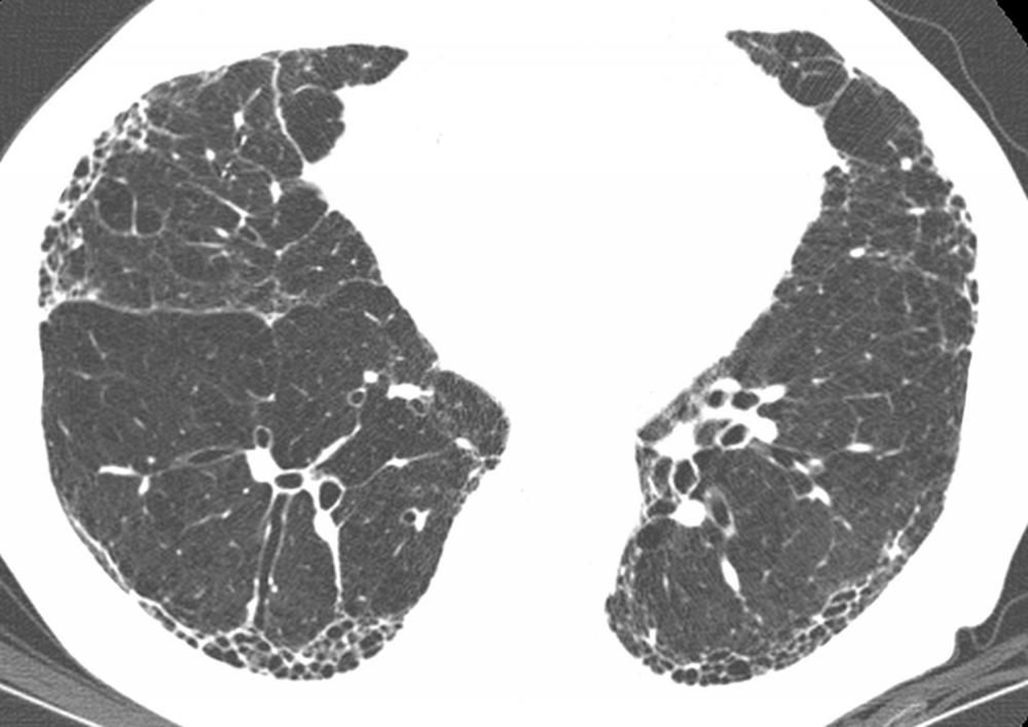
Subpleural honeycombing and traction bronchiectasis (signet ring sign, where multiple thickened dilated bronchi are seen below a pulmonary artery) are present on high-resolution CT in a patient with idiopathic pulmonary fibrosis (IPF). Findings inconsistent with IPF, such as nodules, are absent. These CT findings are virtually diagnostic of IPF if clinical findings are compatible.
Image courtesy of Harold R. Collard, MD.
In these topics
