Hereditary Erythrocyte G6PD Deficiency
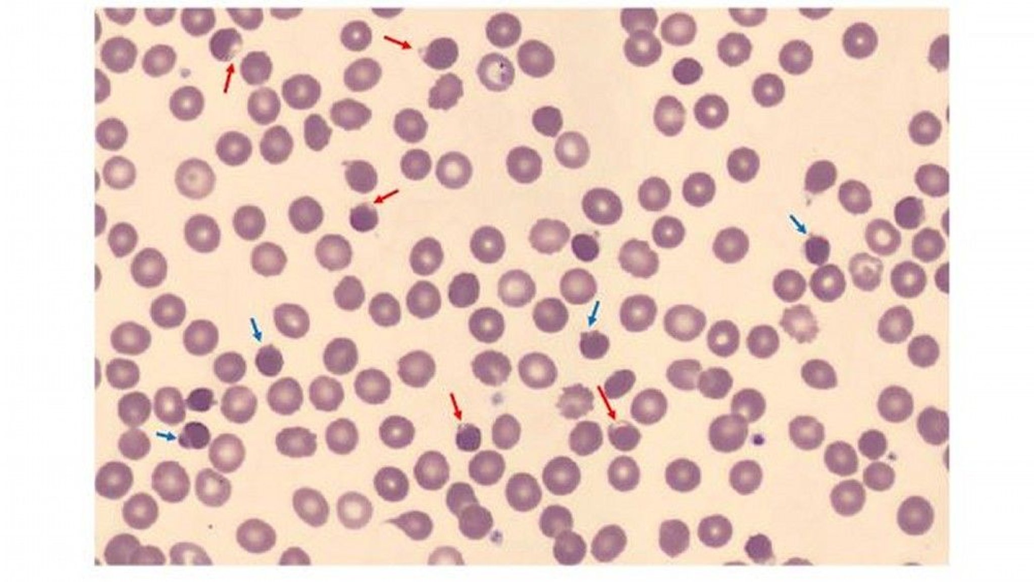
The blood smear is from a 37-year-old male with hereditary G6PD deficiency. It shows many blister cells (red arrows) due to precipitation of damaged hemoglobin within the cells. It also shows spherocytes (blue arrows) with membrane damage due to binding by oxidized hemoglobin.
Image courtesy of Jerry L. Spivak, MD.
In these topics
