Extensive Birth Injuries in a Neonate (CT Scan)
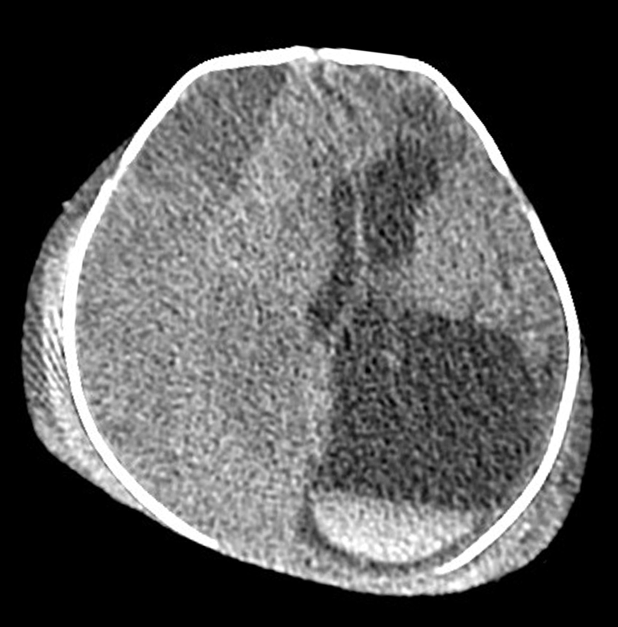
This axial (cross-sectional) CT of the head in a neonate shows extensive extracranial and intracranial injury secondary to severe birth-related injury. There is bilateral swelling/hematoma formation in the scalp. There is a very large isodense (subacute) subdural hematoma along the right cerebral hemisphere, causing brain herniation across the midline. The hematoma results in enlargement of the left lateral ventricle. Acute blood layering in the bottom of the left lateral ventricle (white material with a straight line) is seen at the lower right aspect of the image.
Living Art Enterprises, LLC/SCIENCE PHOTO LIBRARY
In these topics
