Diffuse Alveolar Hemorrhage
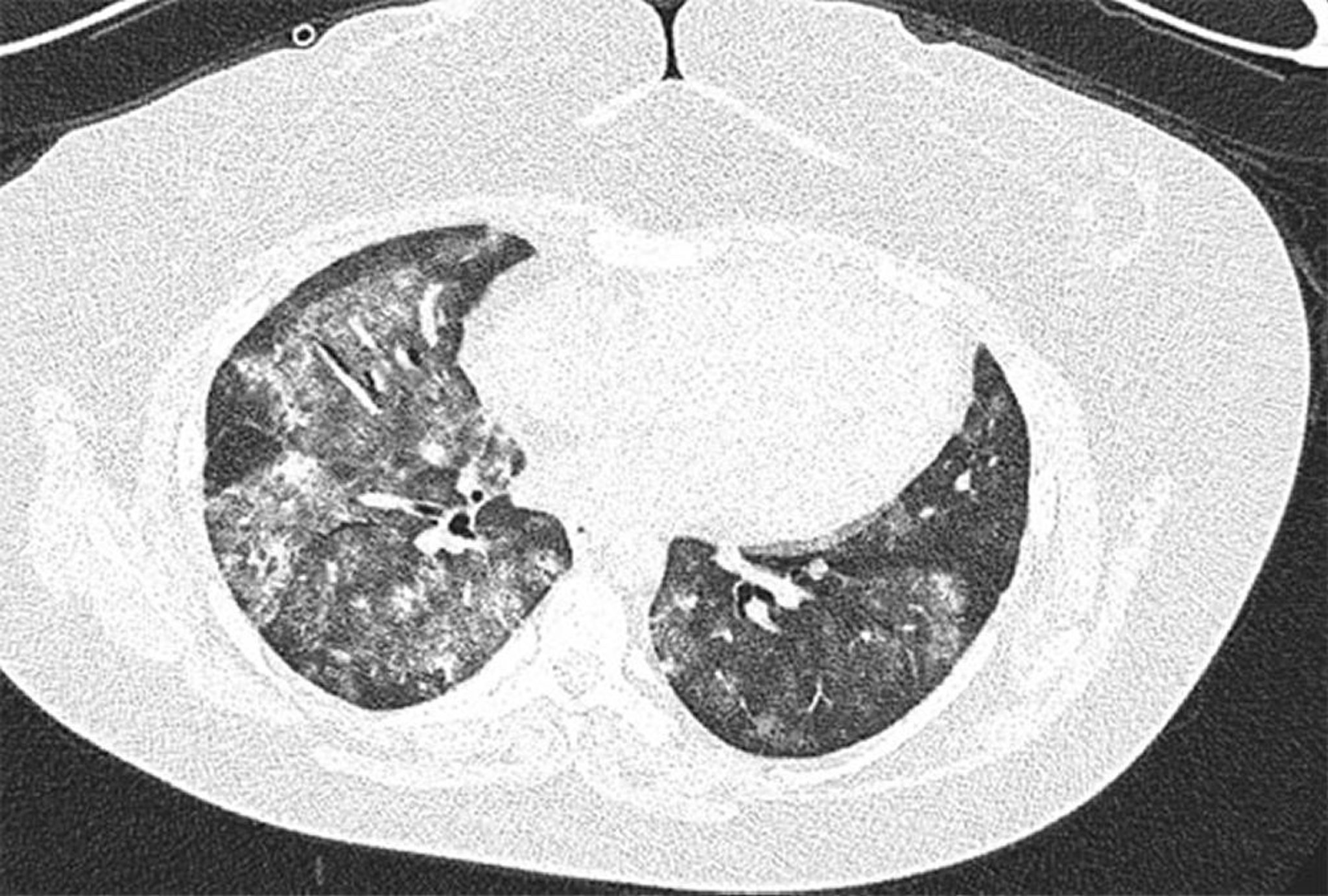
High- resolution CT image of 28-year-old female with antiphospholipid syndrome with recurrent diffuse alveolar hemorrhage. Image shows bilateral and patchy alveolar ground glass opacities with subpleural sparing. Bronchoalveolar lavage confirmed alveolar hemorrhage.
Image courtesy of Joyce Lee, MD.
In these topics
