honeypot link
skip to main content
Professional
Consumer
MSD Manual
Professional Version
MEDICAL TOPICS
RESOURCES
COMMENTARY
PROCEDURES
QUIZZES
ABOUT US
MEDICAL TOPICS
RESOURCES
<
Images
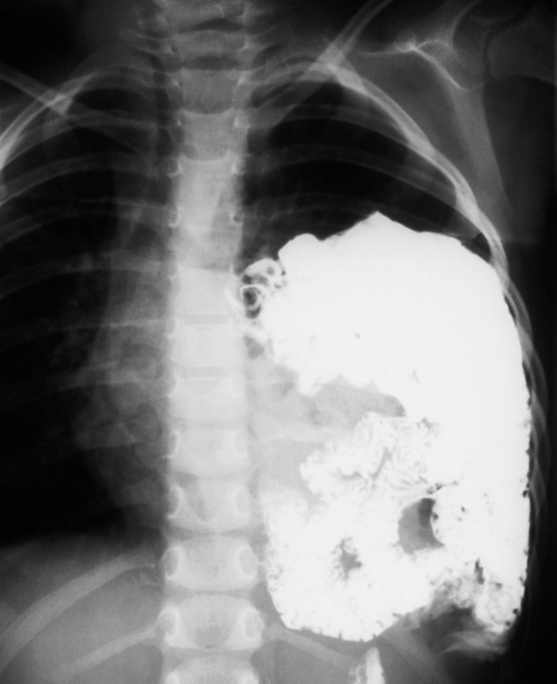
Diaphragmatic Hernia (2)
In this contrast study, stomach and bowel are seen in the left chest.
ZEPHYR/SCIENCE PHOTO LIBRARY
In these topics
Diaphragmatic Hernia
>