Diaphragmatic Hernia (1)
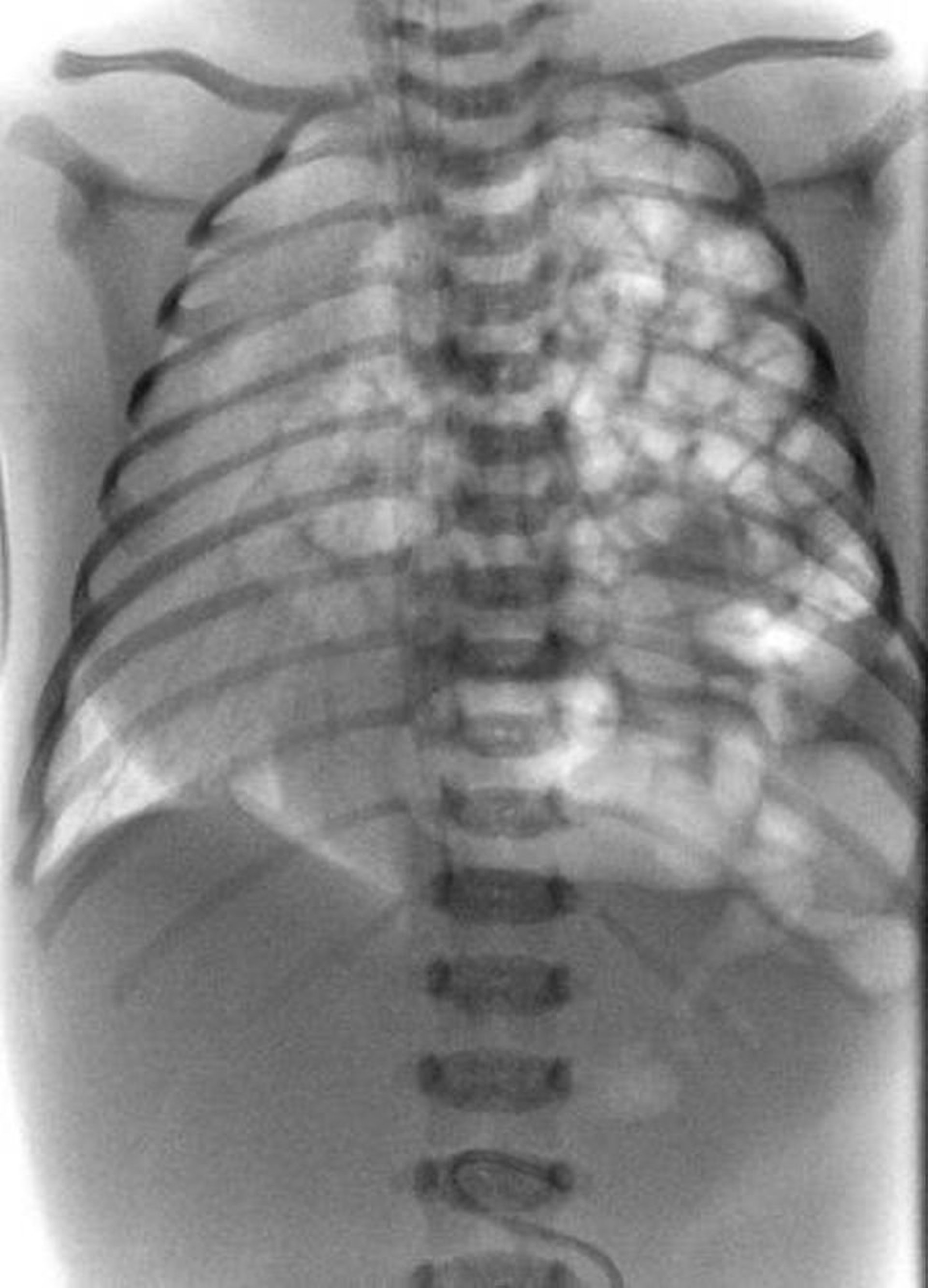
This radiograph shows congenital diaphragmatic hernia in a neonate. Loops of bowel are protruding into the left chest (right side of radiograph).
DU CANE MEDICAL IMAGING LTD/SCIENCE PHOTO LIBRARY
In these topics
This radiograph shows congenital diaphragmatic hernia in a neonate. Loops of bowel are protruding into the left chest (right side of radiograph).
DU CANE MEDICAL IMAGING LTD/SCIENCE PHOTO LIBRARY