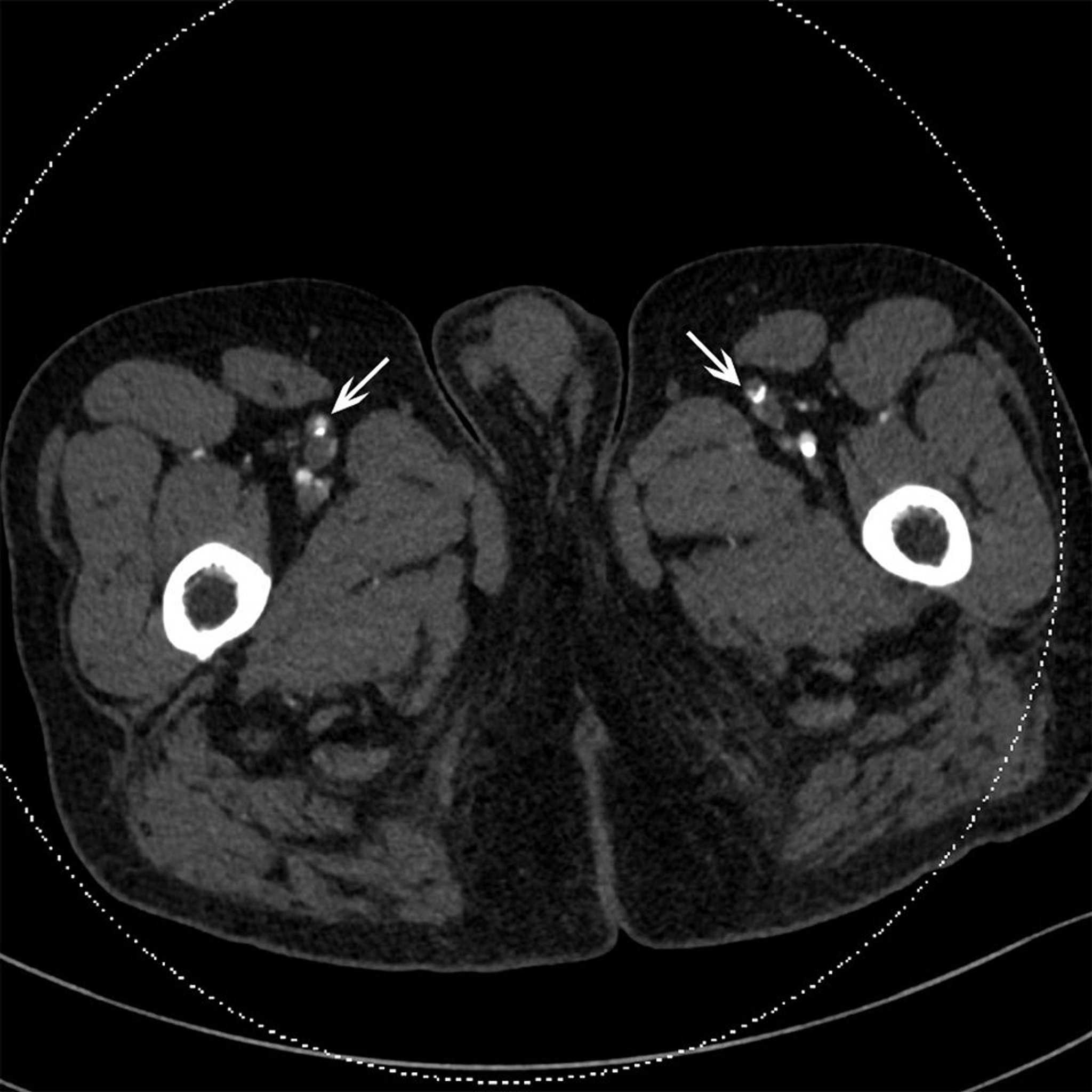
CT Scan of a Patient with Occlusion of Superficial Femoral Arteries
This CT shows bilateral calcified plaque in superficial femoral arteries (arrows).
© 2017 Elliot K. Fishman, MD.
In these topics
This CT shows bilateral calcified plaque in superficial femoral arteries (arrows).
© 2017 Elliot K. Fishman, MD.