Cryptococcosis (Central Nervous System)
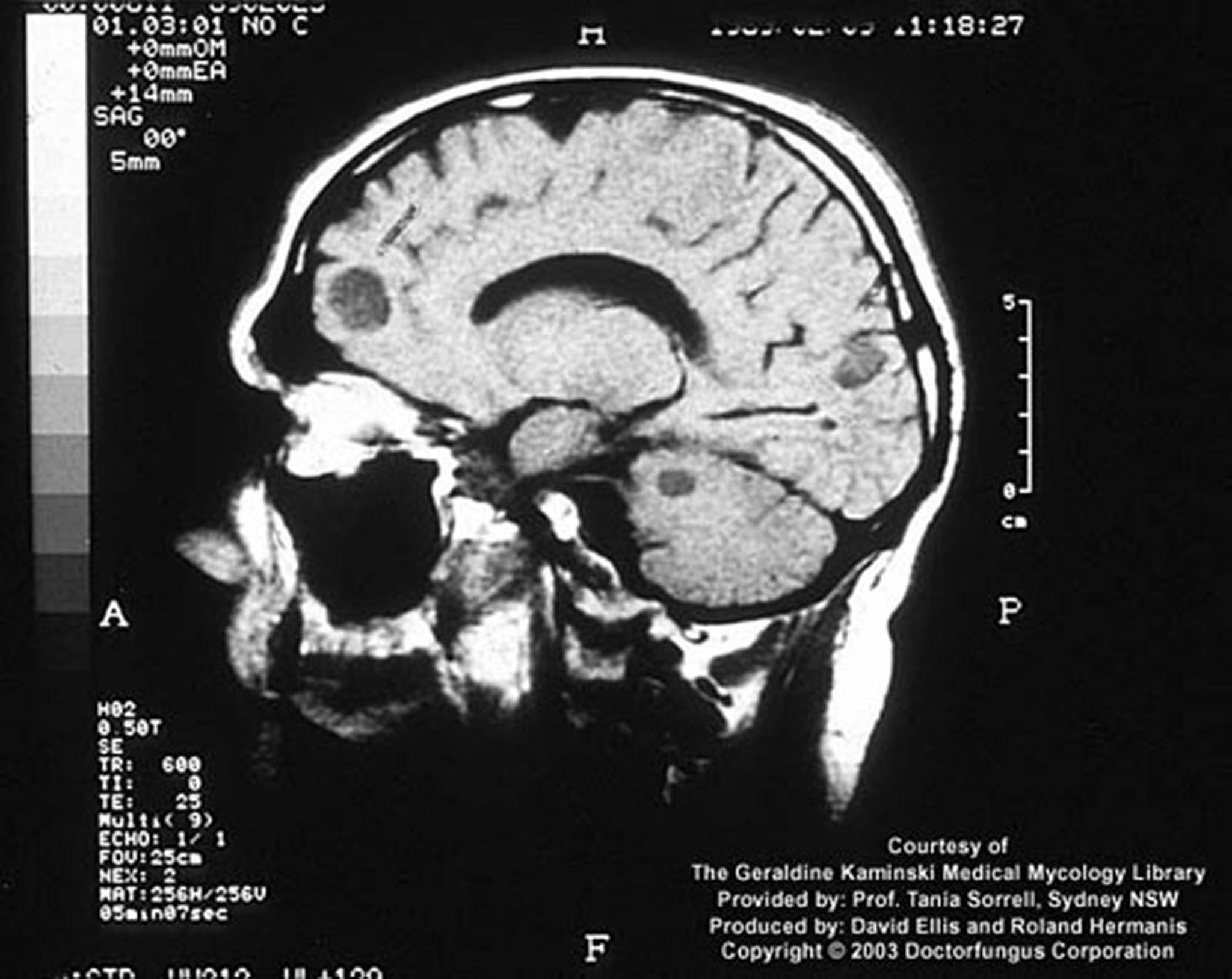
In an immunosuppressed host, cryptococcal infection may manifest as focal brain lesions called cryptococcomas.
Image courtesy of www.doctorfungus.org © 2005.
In these topics
In an immunosuppressed host, cryptococcal infection may manifest as focal brain lesions called cryptococcomas.
Image courtesy of www.doctorfungus.org © 2005.