Contrast CT Showing Normal Coronary Arteries – Slide 6
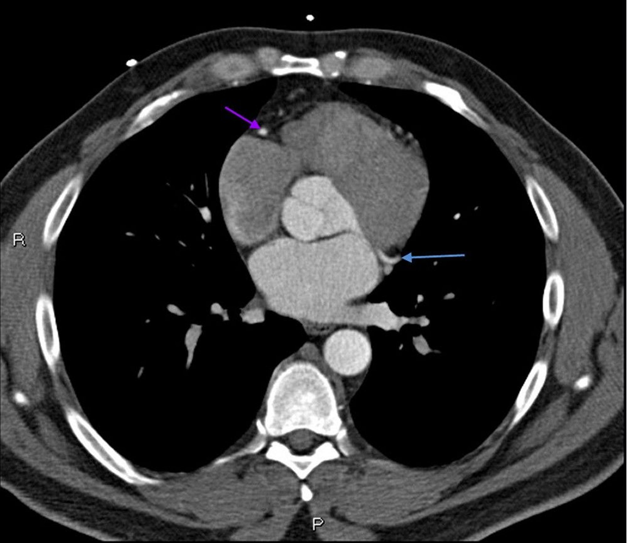
This contrast CT shows normal coronary arteries. The left main is indicated by the red arrow. The left anterior descending and left circumflex arteries are indicated by the green and blue arrows respectively and the right coronary artery is indicated by the purple arrow.
© 2017 Elliot K. Fishman, MD.
In these topics
