Chronic Hypersensitivity Pneumonitis
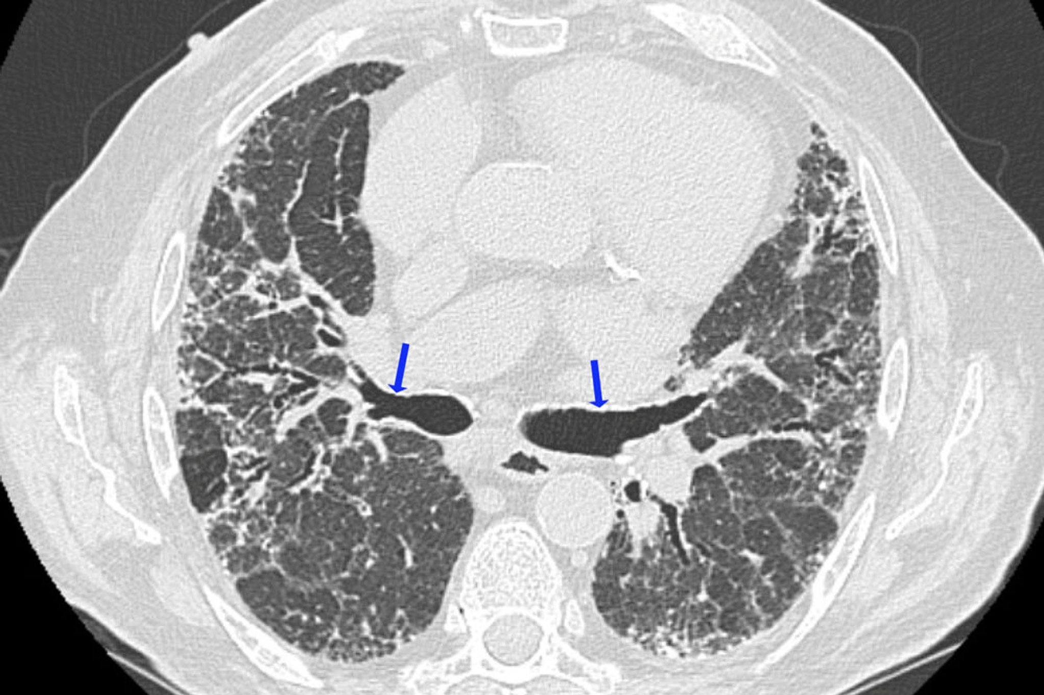
This high-resolution CT scan shows findings of fibrosis, including irregular reticulation and traction bronchiectasis (arrows). Areas of decreased lung density are compatible with regions of airway obstruction. This combination of findings is suggestive of hypersensitivity pneumonitis.
Image courtesy of Joyce Lee, MD, MAS.
In these topics
