Chest X-Ray of a Patient After Coronary Artery Bypass Surgery
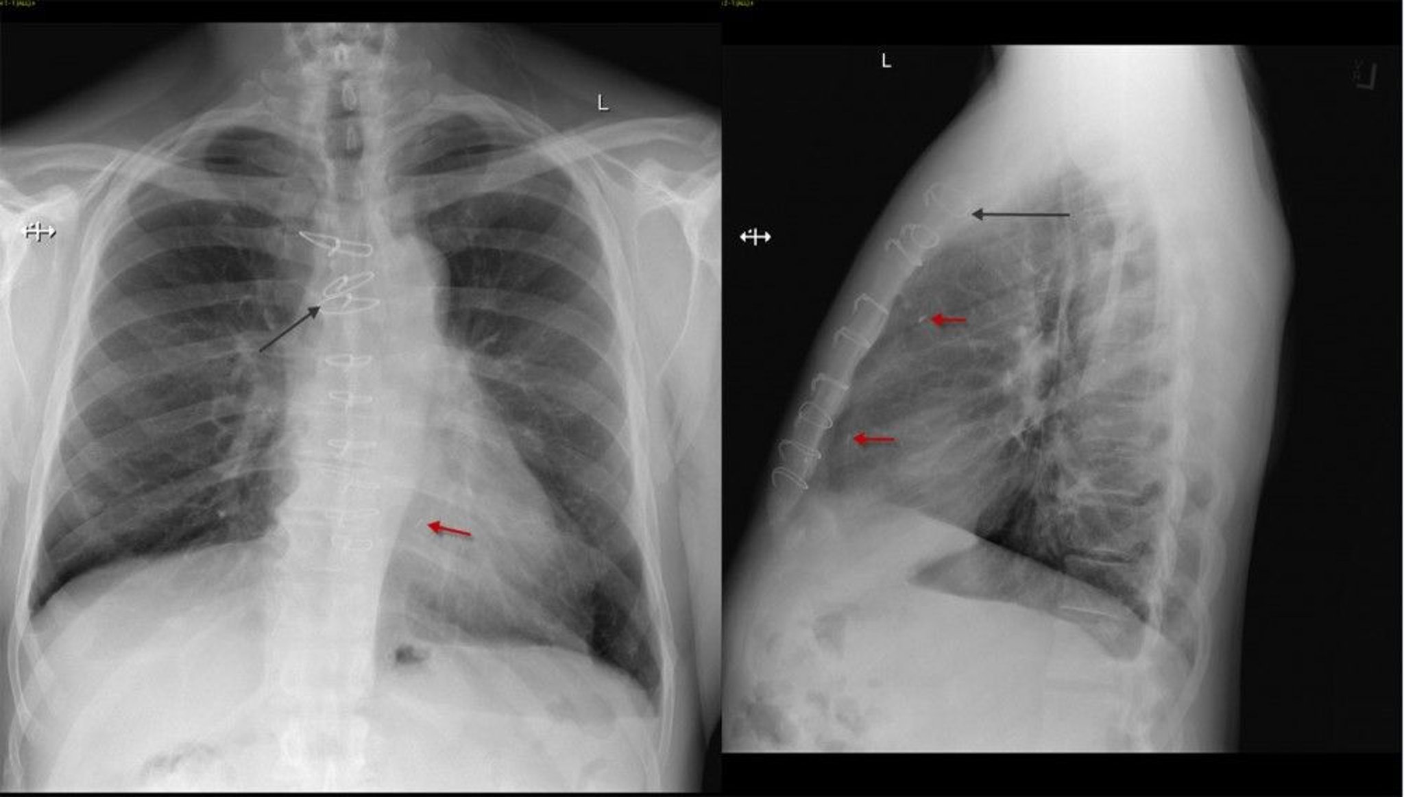
Frontal and lateral chest x-ray of a patient post coronary artery bypass surgery showing sternal sutures (black arrow) and surgical clips (red arrow).
© 2017 Elliot K. Fishman, MD.
In these topics
