Chest Radiograph (Prosthetic Heart Valve)
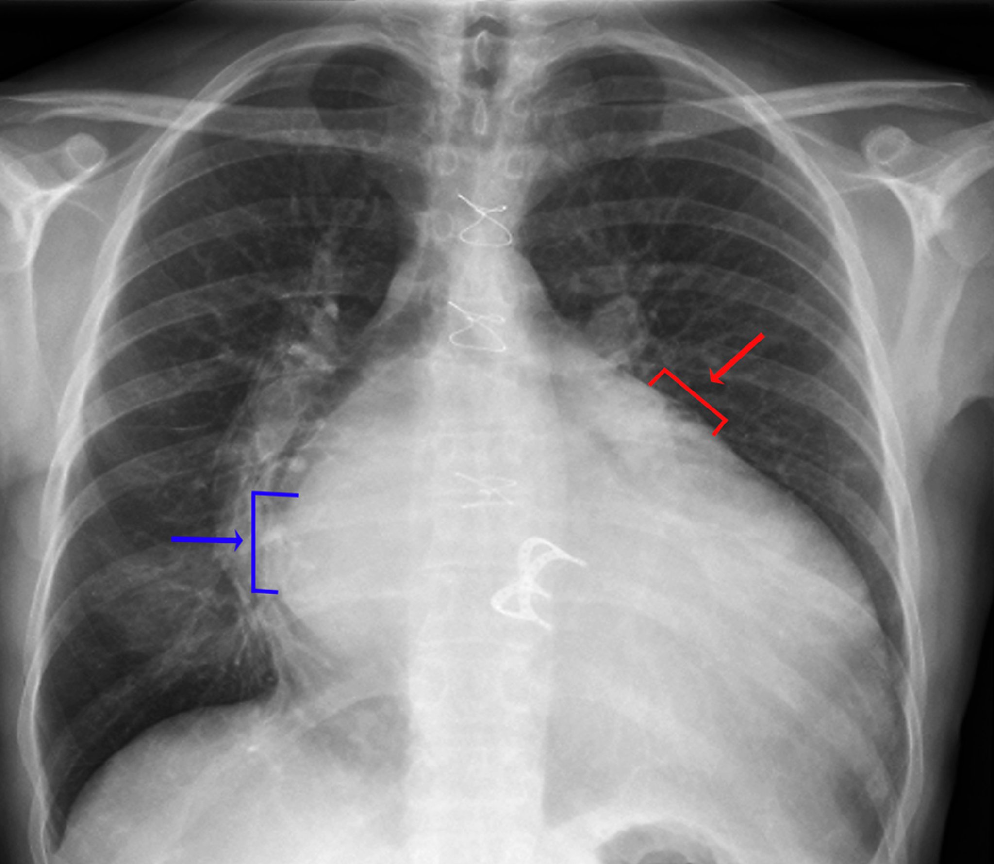
Signs of left atrial enlargement include a visible density of the left atrium in the right hemithorax (blue arrow, double-density sign), increased (> 7 cm) distance between the left atrial edge in the right hemithorax and the left mainstem bronchus, a convexity along the upper left heart border caused by enlargement of the left atrial appendage (red arrow), and widening of the carina with increased separation between the left and right mainstem bronchi. Signs of left ventricular enlargement include an obvious enlargement of the cardiac silhouette and leftward and inferior displacement of the left heart border.
ZEPHYR/SCIENCE PHOTO LIBRARY
In these topics
