Chest Radiograph of a Patient with Pulmonary Edema and Bilateral Pleural Effusions
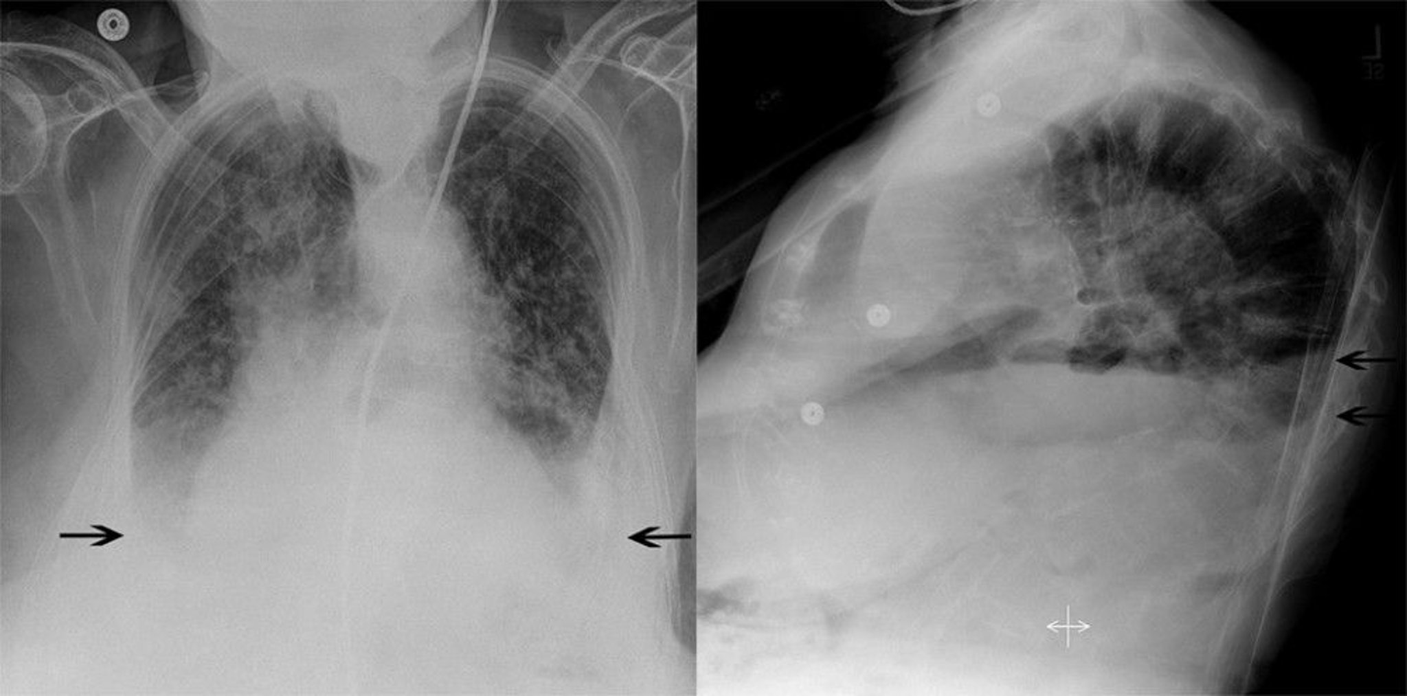
This patient has bilateral patchy interstitial infiltrates characteristic of pulmonary edema, as well as bilateral pleural effusions (arrows). The normally sharp costophrenic angles are obscured by fluid.
© 2017 Elliot K. Fishman, MD.
In these topics
