Cerebellar Hemangioblastoma (MRI)
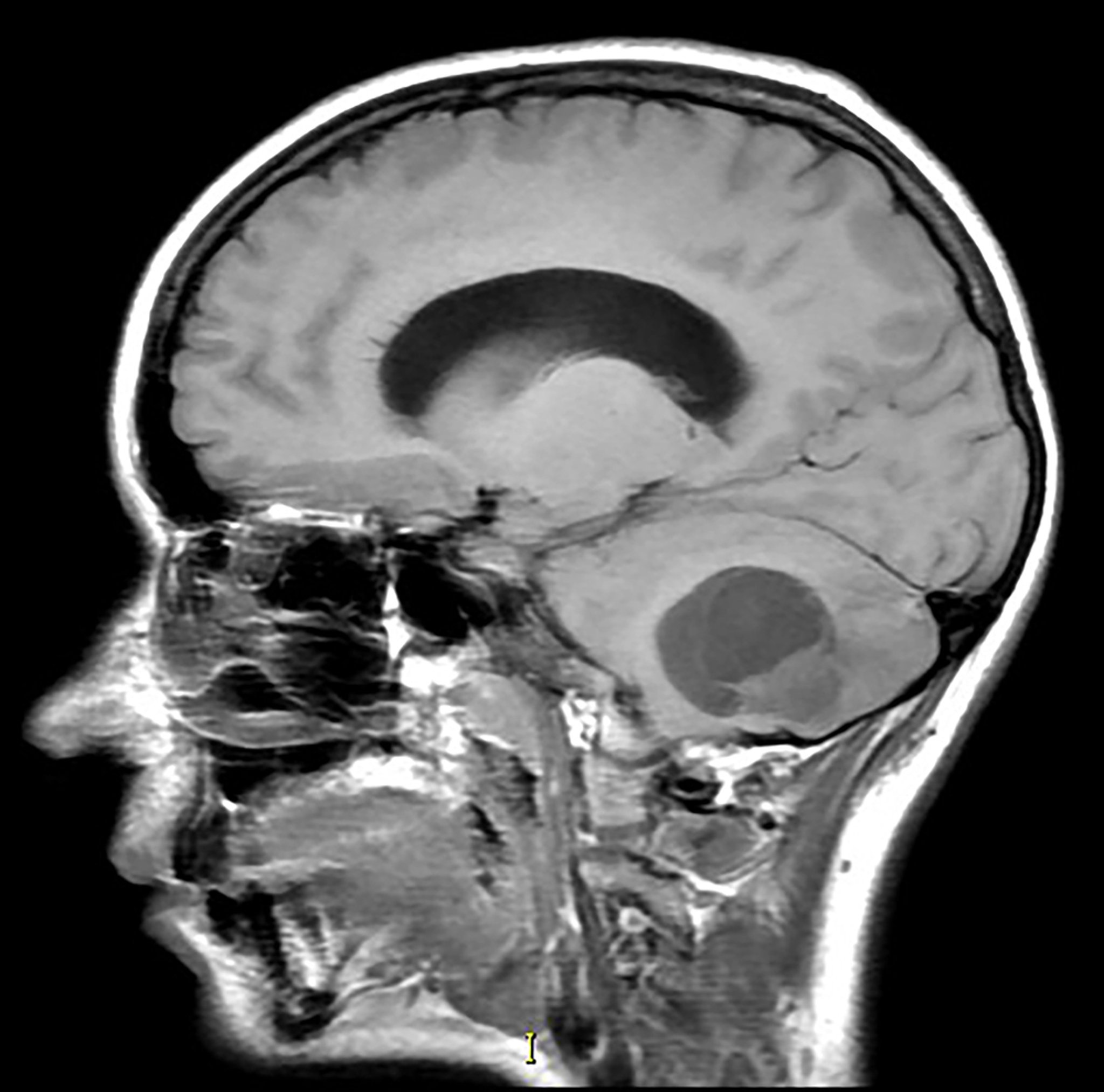
This sagittal T1-weighted magnetic resonance image without contrast shows a partially cystic and solid mass in the inferior cerebellum with associated mass effect. This is the most common appearance of a hemangioblastoma. This tumor is seen with increased frequency in patients with von Hippel-Lindau syndrome.
Living Art Enterprises/SCIENCE PHOTO LIBRARY
In these topics
