Blastomycosis (Radiographs)
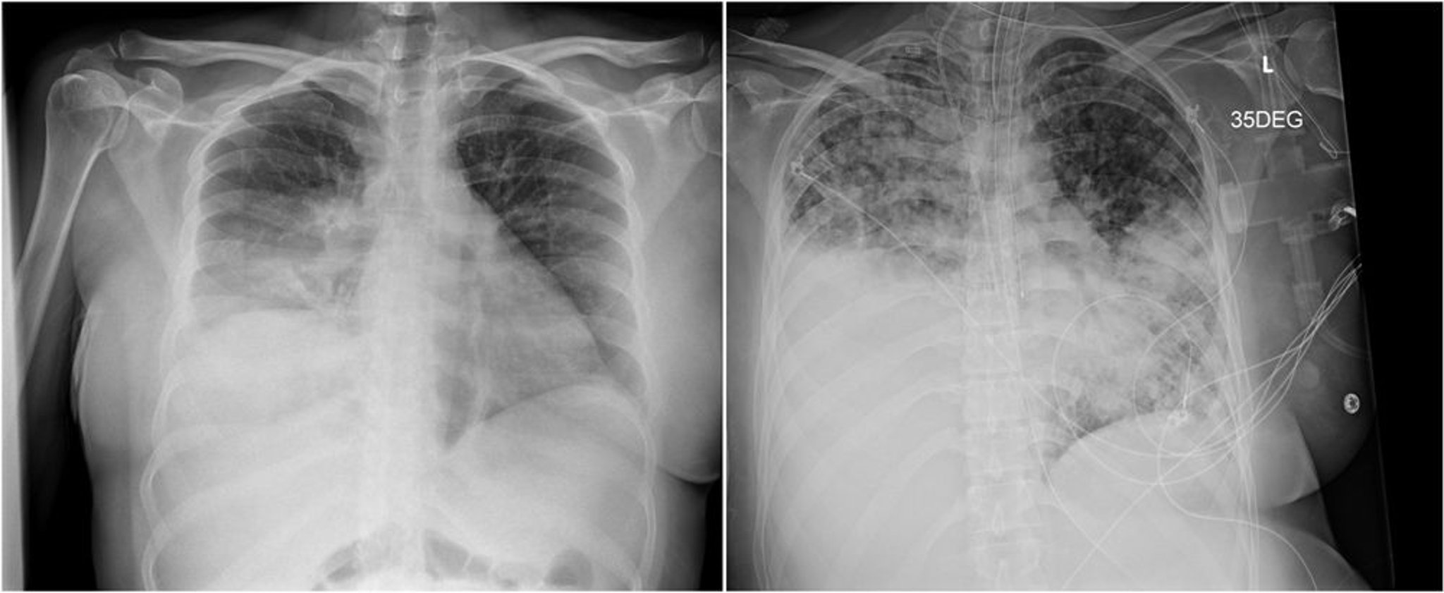
The radiograph on the left shows a right lower lobe consolidation that was mistaken for bacterial pneumonia.
The radiograph on the right, taken 3 weeks later, shows disease progression with patchy bilateral airspace opacities and dense consolidation in the right lower lung.
Images courtesy of Paschalis Vergidis, MD, MSc.
In these topics
