Bamboo Spine in Ankylosing Spondylitis
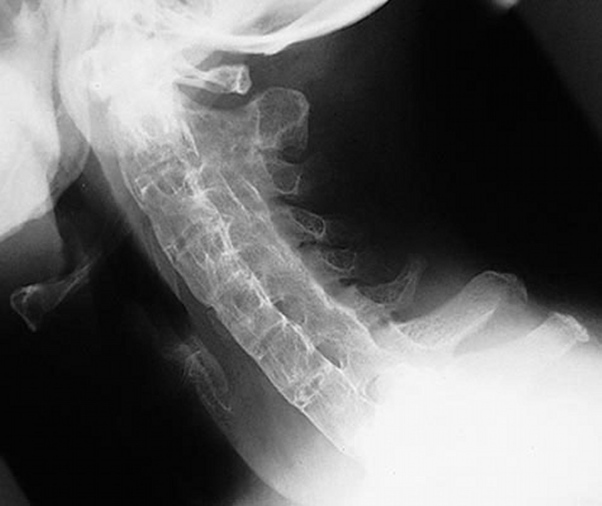
This lateral view of the cervical spine shows a rigid cervical spine in a patient with severe, long-standing ankylosing spondylitis. The spine is completely ankylosed (“bamboo spine”) due to syndesmophytes, fused facet (apophyseal) joints, and paraspinal ligamentous calcification.
By permission of the publisher. From Asim Khan M: Atlas of Rheumatology. Edited by G Hunder. Philadelphia, Current Medicine, 2005.
In these topics
