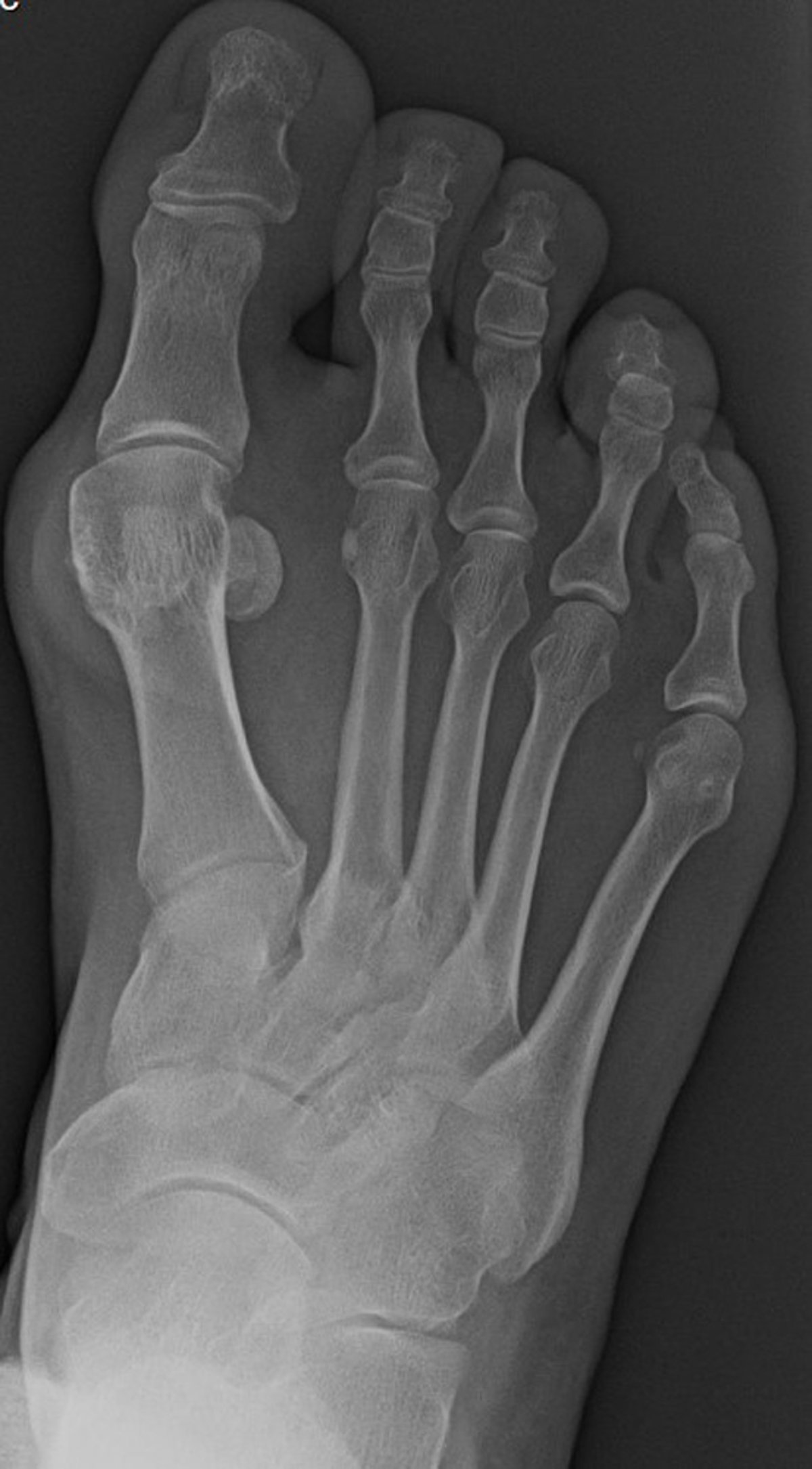
Anteroposterior (AP) Radiograph of Foot with Bunion
This anteroposterior view of the foot shows radiographic findings consistent with hallux valgus, with medial deviation of the first metatarsal. There is also lateral subluxation of the base of the first proximal phalanx with respect to the head of the first metatarsal.
Image courtesy of James C. Connors, DPM.
In these topics
