Acute Respiratory Distress Syndrome
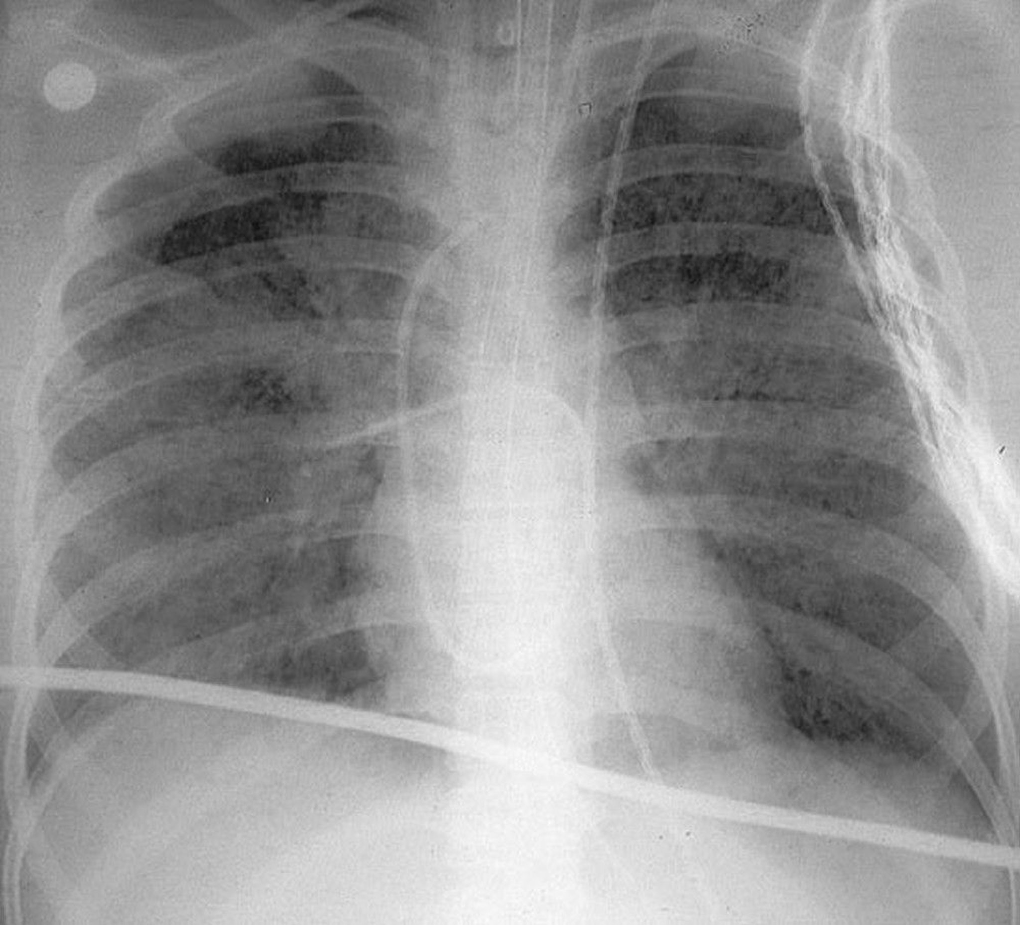
This upright chest x-ray shows diffuse bilateral opacities characteristic of acute respiratory distress syndrome (ARDS).
By permission of the publisher. From Herdegen J, Bone R. In Atlas of Infectious Diseases: Pleuropulmonary and Bronchial Infections. Edited by G Mandell (series editor) and MS Simberkoff. Philadelphia, Current Medicine, 1996.
In these topics
