Granulomatous amebic encephalitis is a very rare, typically fatal subacute central nervous system infection caused by free-living amebas, Acanthamoeba species in immunocompromised or debilitated hosts, by Balamuthia mandrillaris in healthy hosts, or by Sappinia pedata. Symptoms include neurologic changes; Acanthamoeba species and B. mandrillaris may also cause skin lesions. Diagnosis is with brain imaging, cerebrospinal fluid analysis, and biopsy of skin and sometimes brain specimens. Treatment is with miltefosine and other antiparasitic drugs.may also cause skin lesions. Diagnosis is with brain imaging, cerebrospinal fluid analysis, and biopsy of skin and sometimes brain specimens. Treatment is with miltefosine and other antiparasitic drugs.
Acanthamoeba species and Balamuthia mandrillaris are present worldwide in water, soil, and dust. Human exposure is common, but infection is rare. Acanthamoeba infection of the central nervous system (CNS) occurs almost entirely in immunocompromised or otherwise debilitated patients; however, B. mandrillaris may infect healthy patients as well as those who are immunocompromised. Sappinia pedata was implicated in one case of amebic encephalitis in Texas (1).
The life cycles of Acanthamoeba, Balamuthia, and Sappinia involve only 2 stages: cysts and trophozoites (the infective form). The trophozoites form double-walled cysts, which resist eradication. The entry portal is thought to be the skin or lower respiratory tract, with subsequent hematogenous dissemination to the CNS. In infected patients, cysts and trophozoites may be found in tissues.
General reference
1. Qvarnstrom Y, da Silva AJ, Schuster FL, Gelman BB, Visvesvara GS. Molecular confirmation of Sappinia pedata as a causative agent of amoebic encephalitis. J Infect Dis. 2009;199(8):1139–1142. doi:10.1086/597473
Symptoms of Granulomatous Amebic Encephalitis
In patients with granulomatous amebic encephalitis, onset is insidious, often with focal neurologic manifestations developing over weeks to months. Mental status changes with behavioral abnormalities, seizures, and headache are common. Symptoms of inflammation, such as fever and malaise, are common.
Acanthamoeba species and B. mandrillaris may also cause skin lesions; patients can present with ulcerative skin lesions and later develop neurologic symptoms and signs. In a few patients with advanced HIV infection, disseminated Acanthamoeba infection affects only the skin.
Progressive neurologic symptoms lead to delirium, coma, and, ultimately, death even when treatment is initiated. Survival is uncommon in patients with CNS or disseminated disease; death usually occurs between 7 and 120 days after onset.
Diagnosis of Granulomatous Amebic Encephalitis
Head CT and/or MRI with contrast
Cerebrospinal fluid (CSF) analysis
Biopsy of skin lesions
Diagnosis of granulomatous amebic encephalitis is often postmortem. Clinicians should have a high index of suspicion whenever routine microbiologic assessment of CSF in the setting of encephalitis is negative for bacteria, fungi, or viruses.
Diagnosis of Acanthamoeba infections
In patients with Acanthamoeba infections of the brain, CT with contrast and MRI may show single or multiple space-occupying lesions with ring enhancement, most commonly in the temporal and parietal lobes. In cerebrospinal fluid (CSF), white blood cell (WBC) count (predominantly lymphocytes) is elevated, but trophozoites are rarely seen. These tests help exclude other possible causes but usually cannot confirm the diagnosis.
Visible skin lesions often contain amebas and should be biopsied; if detected, amebas may be cultured and tested for drug sensitivity.
Brain biopsy is often positive for trophozoites on hematoxylin-eosin staining and should be considered if granulomatous amebic encephalitis is suspected.
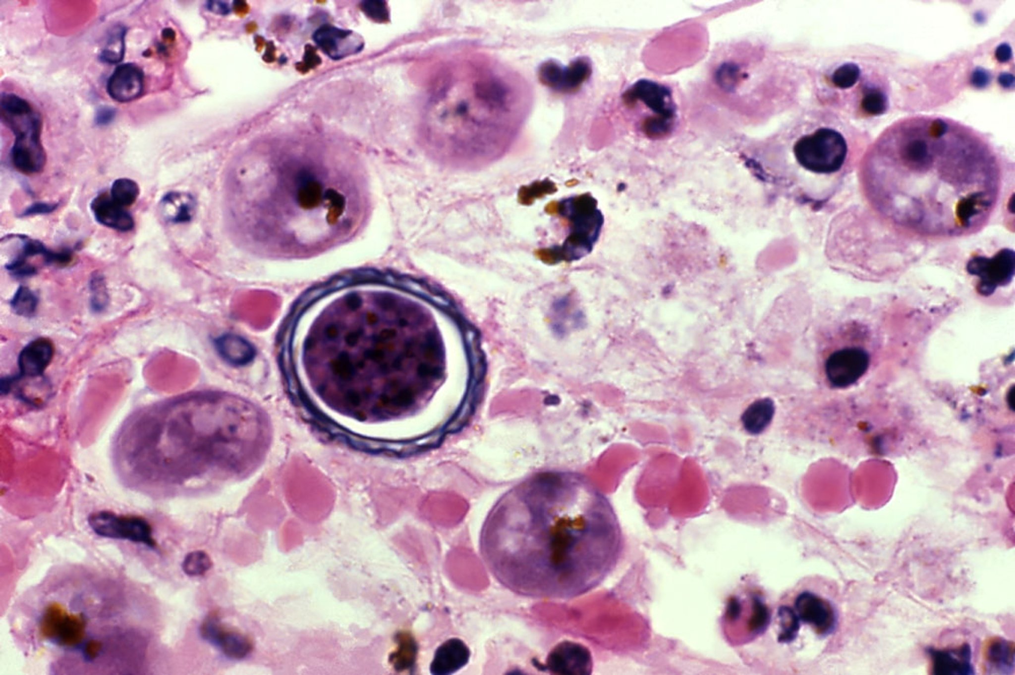
This image shows an Acanthamoeba cyst in a brain tissue sample stained with hematoxylin and eosin.
CDC/ DPDx; George Healy, Ph.D.
Polymerase chain reaction (PCR)–based assays are available in specialized reference laboratories, including a multiplex PCR assay for identification of Acanthamoeba species and B. mandrillaris (1).
Diagnosis of B. mandrillaris infections
In patients with B. mandrillaris infection of the brain, CT and MRI, both with contrast, typically show multiple nodular, ring-enhancing lesions. Intralesional hemorrhage is an important radiologic clue.
In CSF the WBC count is elevated (predominantly lymphocytes), the glucose is normal or low, and the protein is often markedly elevated. B. mandrillaris is rarely identified in CSF.
Microscopic examination plus PCR-based and immunohistochemical techniques can identify B. mandrillaris in biopsies of brain or skin lesions.
This image shows a B. mandrillaris cyst in a brain tissue sample stained with hematoxylin and eosin.
Image courtesy of the University of Kentucky Hospital, Lexington, Kentucky.
Diagnosis of S. pedata infections
In patients with S. pedata infections of the brain, biopsy of the brain lesion can provide critical diagnostic information. The presence of necrotizing hemorrhagic inflammation with free-living amebas, particularly those with distinctive double nuclei, is indicative of Sappinia infection.
Molecular techniques may then be used for confirmatory diagnosis. Real-time polymerase chain reaction (PCR) assays can be used to confirm the presence of Sappinia DNA in clinical specimens. This molecular confirmation is crucial for accurate diagnosis because Sappinia species are not typically associated with human disease and may be misidentified morphologically.
Immunofluorescence microscopy may also be considered; this technique can help differentiate Sappinia from other amebas that cause encephalitis. The unique structural features of Sappinia, such as double nuclei, can be identified using specific staining methods.
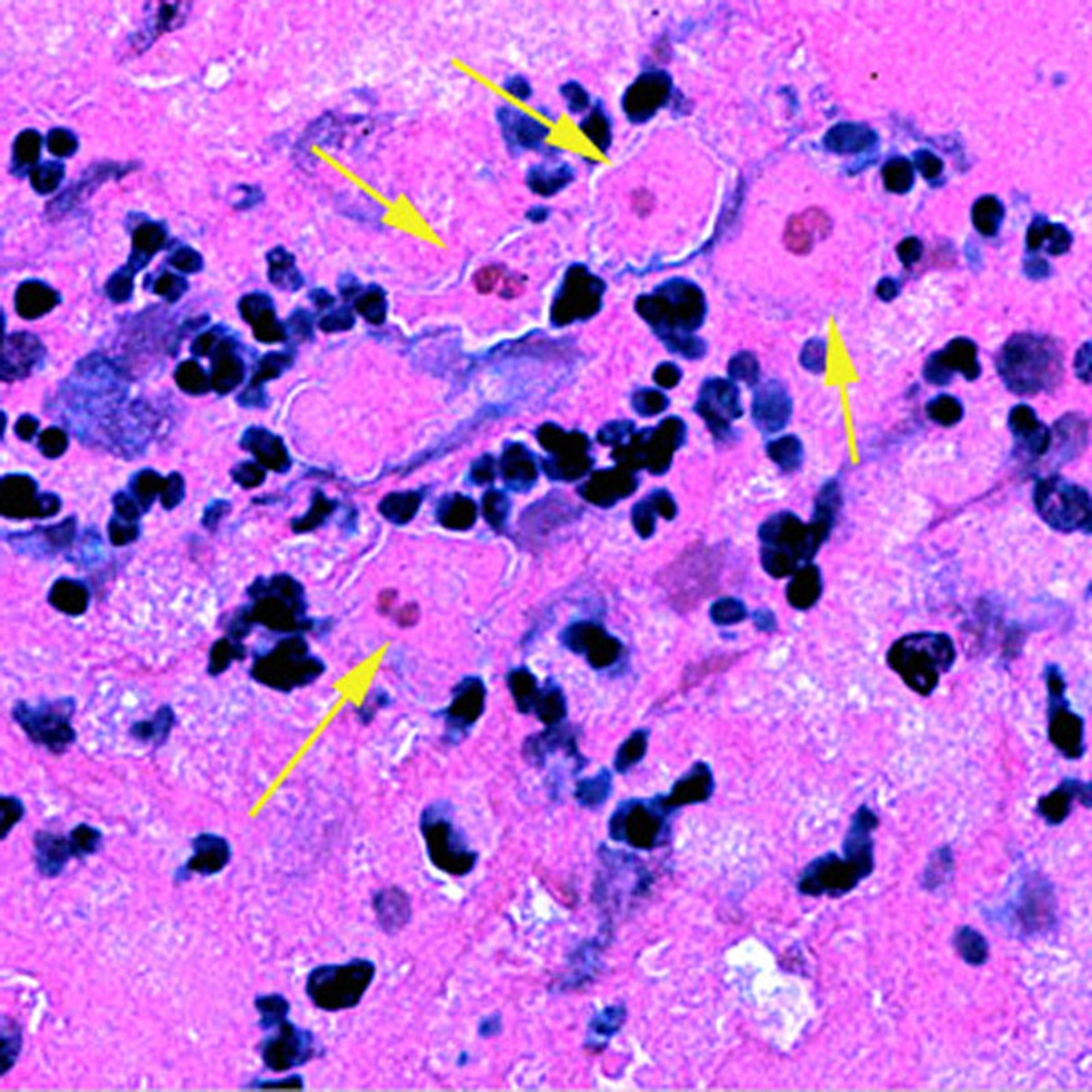
This image shows 4 trophozoites (arrows) of S. pedata in brain tissue stained with hematoxylin and eosin. In 3 of the amebas, the double nuclei can easily be seen.
CDC/DPDx
Diagnosis reference
1. Qvarnstrom Y, Visvesvara GS, Sriram R, da Silva AJ. Multiplex real-time PCR assay for simultaneous detection of Acanthamoeba spp., Balamuthia mandrillaris, and Naegleria fowleri. J Clin Microbiol. 2006;44(10):3589-3595. doi:10.1128/JCM.00875-06
Treatment of Granulomatous Amebic Encephalitis
A combination of antiparasitic drugs, including miltefosineA combination of antiparasitic drugs, including miltefosine
Consultation with the Centers for Disease Control and Prevention (CDC)
For all cases of granulomatous amebic encephalitis, immediate consultation with the CDC is recommended (see CDC: Parasitic Diseases Hotline/Clinical Consult Service for Healthcare Providers (non-malaria parasitic diseases)).
Optimal treatment of Acanthamoeba encephalitis is unclear. Multiple drugs (often > 5) are typically used in combination. Although the number of patients treated with a regimen containing miltefosine is small, encephalitis is unclear. Multiple drugs (often > 5) are typically used in combination. Although the number of patients treated with a regimen containing miltefosine is small,miltefosine seems to offer a survival advantage and is recommended. Despite the possibility of miltefosine causing congenital anomalies, it may be considered for pregnant patients because granulomatous amebic encephalitis is usually fatal without treatment; therefore, the potential benefits of therapy may outweigh the risks to the fetus.
Other drugs that have been used in combination with miltefosine to treat Acanthamoeba encephalitis include pentamidine, sulfadiazine or trimethoprim/sulfamethoxazole, azithromycin or clarithromycin, flucytosine, an azole (fluconazole, itraconazole, or voriconazole), rifampin, caspofungin, and amphotericin B.encephalitis include pentamidine, sulfadiazine or trimethoprim/sulfamethoxazole, azithromycin or clarithromycin, flucytosine, an azole (fluconazole, itraconazole, or voriconazole), rifampin, caspofungin, and amphotericin B.
For B. mandrillaris encephalitis, miltefosine in combination with other drugs such as flucytosine, pentamidine, fluconazole, and/or sulfadiazine plus either azithromycin or clarithromycin plus surgical resection have been used. encephalitis, miltefosine in combination with other drugs such as flucytosine, pentamidine, fluconazole, and/or sulfadiazine plus either azithromycin or clarithromycin plus surgical resection have been used.
A case of Sappinia pedata encephalitis was successfully treated with a combination of azithromycin, pentamidine, itraconazole, and flucytosine plus surgical resection of the CNS lesion. Adding miltefosine to this regimen should be considered in future cases.
Skin and disseminated infections caused by Acanthamoeba species or B. mandrillaris are usually treated with the same drugs plus surgical debridement of cutaneous lesions.
Key Points
Granulomatous amebic encephalitis is a very rare, usually fatal, central nervous system infection.
Acanthamoeba encephalitis occurs almost entirely in immunocompromised or otherwise debilitated patients, but B. mandrillaris may infect healthy hosts.
Perform head CT or MRI, both with contrast; conduct cerebrospinal fluid (CSF) analysis to exclude other causes; biopsy skin lesions, if present, or sometimes the brain to check for amebas.
Consult with the CDC about diagnostic testing and optimal treatment.
Treat with miltefosine plus other antiparasitic drugs (eg, pentamidine, macrolides, sulfadiazine, flucytosine, an azole).Treat with miltefosine plus other antiparasitic drugs (eg, pentamidine, macrolides, sulfadiazine, flucytosine, an azole).



