honeypot link
skip to main content
Msd 매뉴얼
일반인용
의학 주제
증상
응급 상황
자료
해설
소개
의학 주제
증상
<
이미지
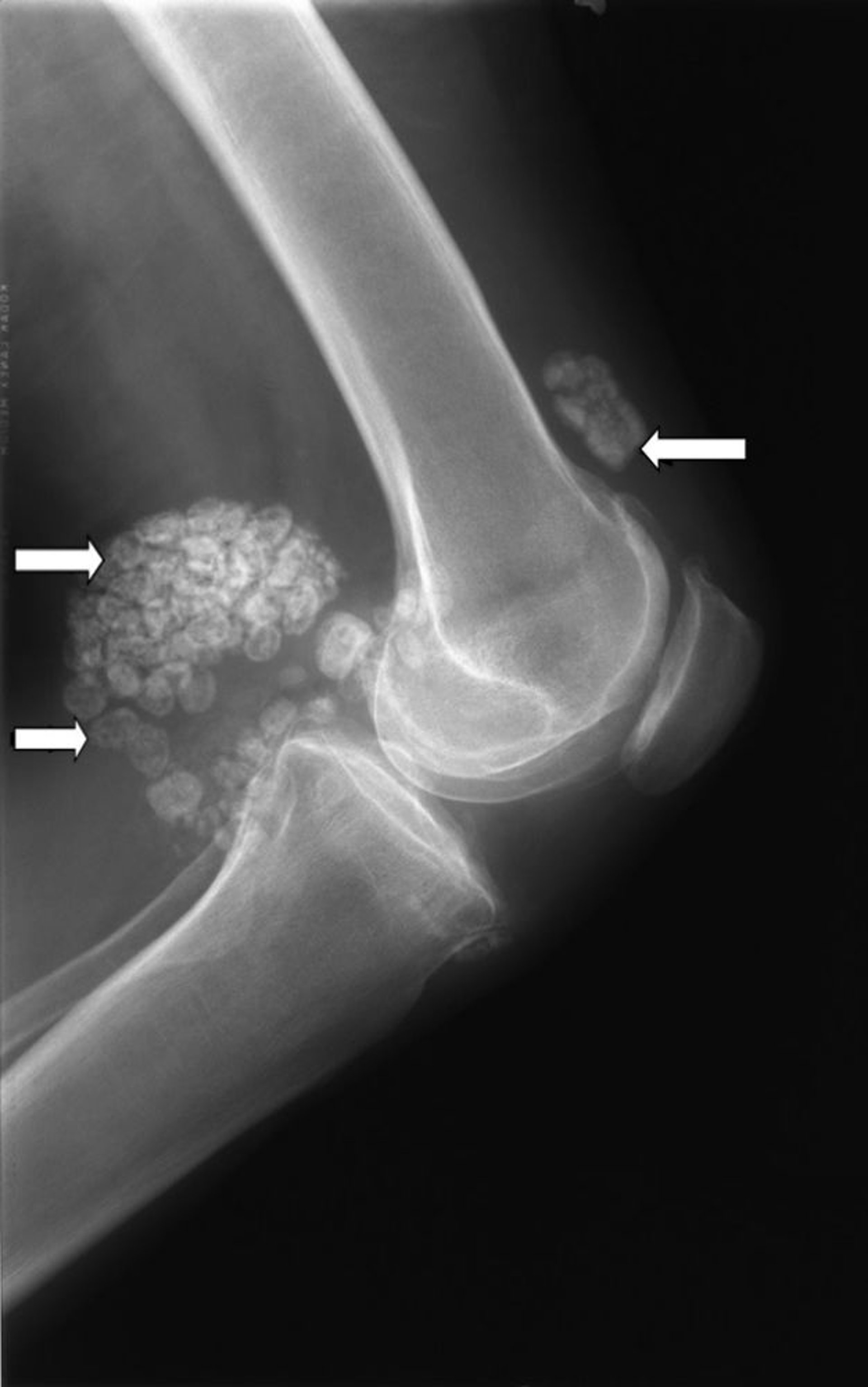
윤활막 연골종증
이 무릎 X-레이는 윤활막 연골종증으로 알려진 여러 개의 연골 응괴(화살표)를 보여줍니다.
이미지 제공: Michael J. Joyce, MD 및 Hakan Ilaslan, MD.
이 주제에서
관절 종양
>