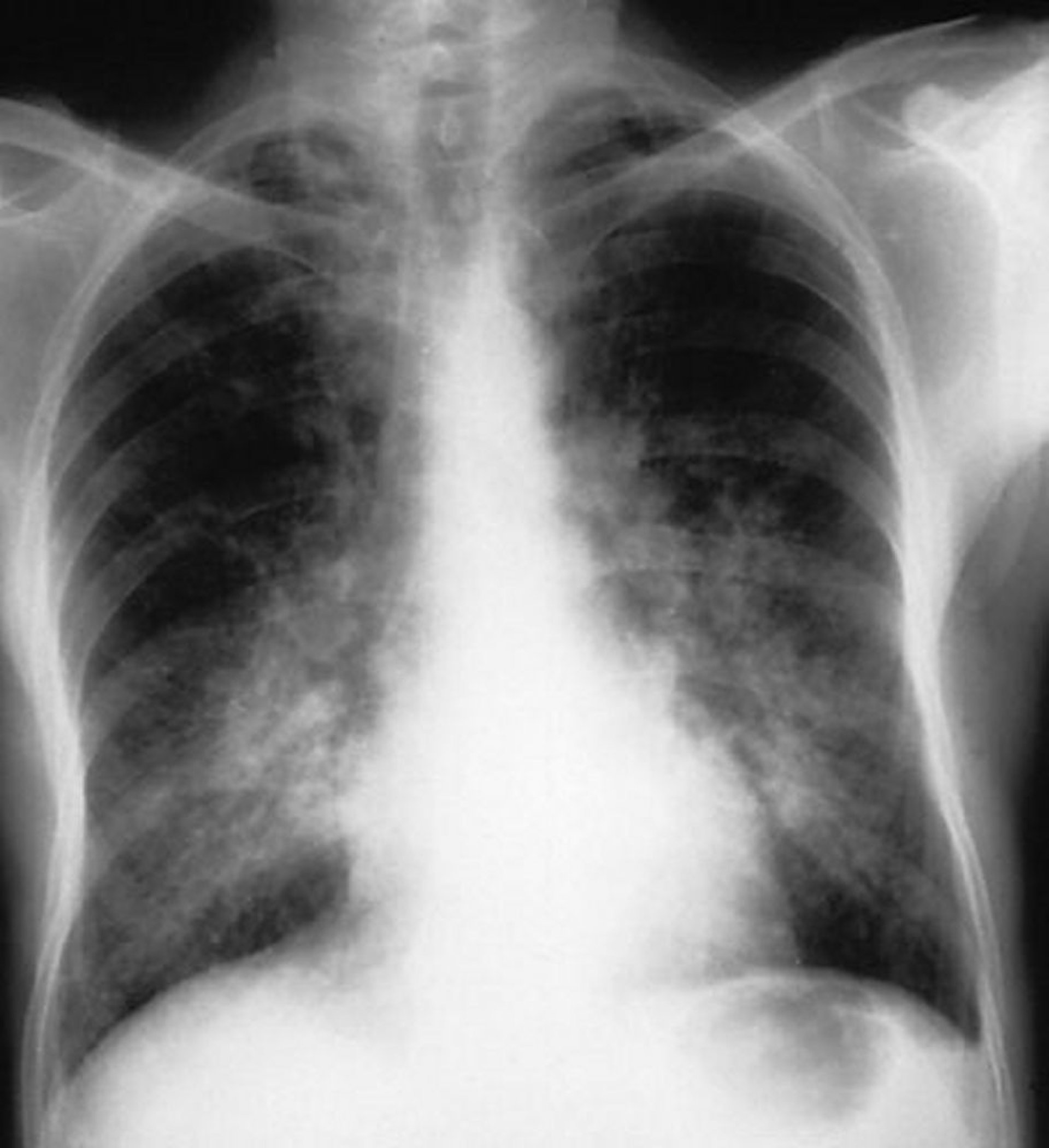
肺胞出血
この胸部X線像には,肺胞出血患者にみられた両側性の肺胞性陰影が示されている。
By permission of the publisher.From Cohen A, Glassock R.In Atlas of Diseases of the Kidney: Glomerulonephritis and Vasculitis.Edited by R Schrier (series editor), RJ Glassock, and AH Cohen.Philadelphia, Current Medicine, 1999.
関連するトピック
