退形成性星細胞腫
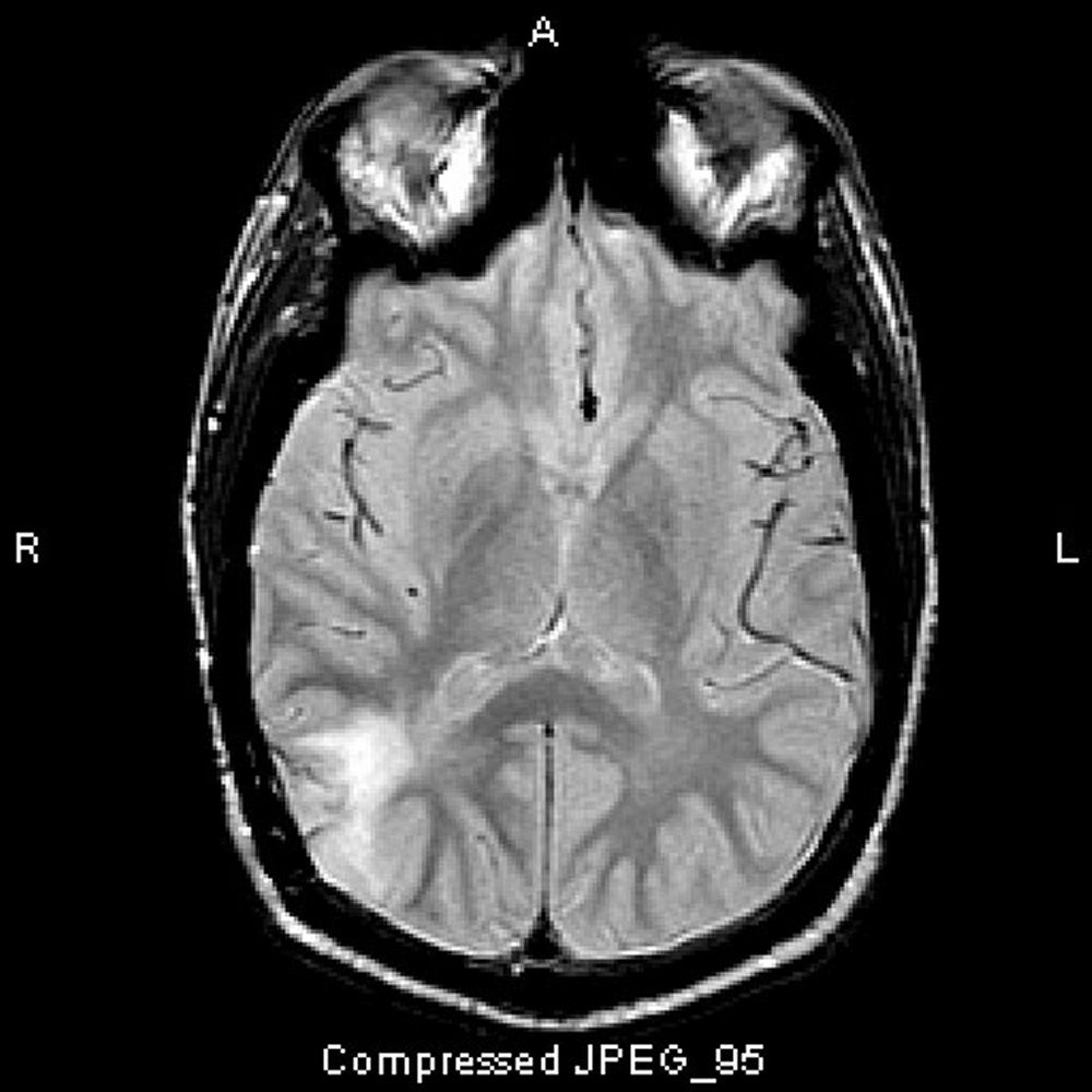
このT2-FLAIR MRI画像では,側頭葉後部に白い高信号域が認められる。この信号は造影剤によって増強されない。退形成性(グレードIII)星細胞腫である。
Image courtesy of William R.Shapiro, MD.
関連するトピック
このT2-FLAIR MRI画像では,側頭葉後部に白い高信号域が認められる。この信号は造影剤によって増強されない。退形成性(グレードIII)星細胞腫である。
Image courtesy of William R.Shapiro, MD.