急性呼吸窮迫症候群
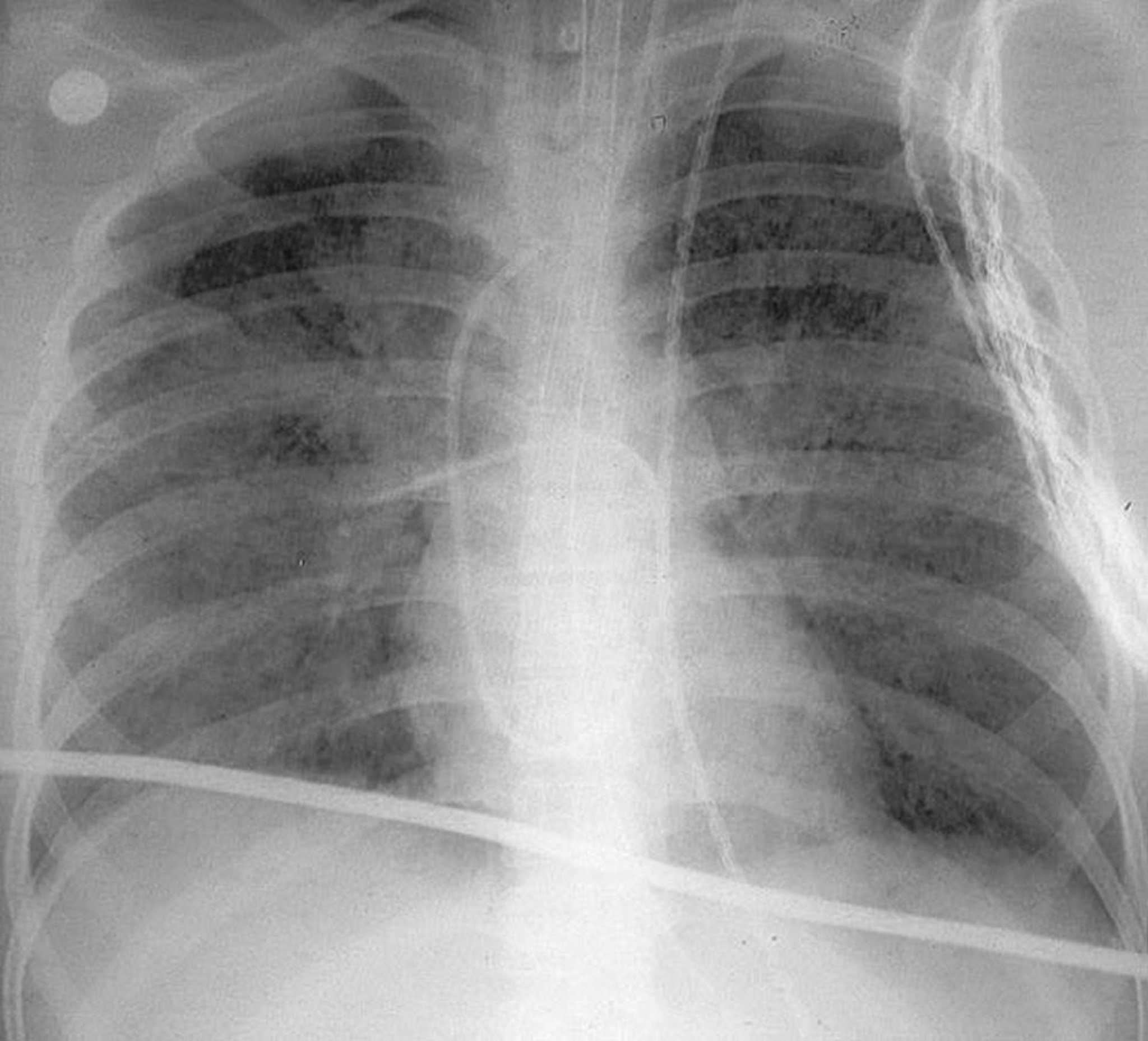
この立位胸部X線写真上では,急性呼吸窮迫症候群(ARDS)に特徴的なびまん性かつ両側性の透過性低下がみられる。
By permission of the publisher.From Herdegen J, Bone R.In Atlas of Infectious Diseases: Pleuropulmonary and Bronchial Infections.Edited by G Mandell (series editor) and MS Simberkoff.Philadelphia, Current Medicine, 1996.
関連するトピック
