乏突起膠腫,低悪性度
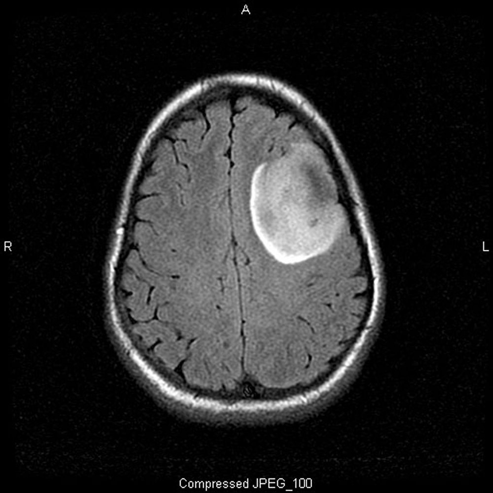
MRIで撮像されたこのT2-FLAIR(fluid-attenuated inversion recovery)画像には,腫瘤または浮腫を示唆する白い高信号域が認められる。左前頭葉の信号は境界が非常に明瞭であり,腫瘤を示唆する。造影剤を使用しても増強されない。低悪性度(グレードII)乏突起膠腫である。
Image courtesy of William R.Shapiro, MD.
関連するトピック
MRIで撮像されたこのT2-FLAIR(fluid-attenuated inversion recovery)画像には,腫瘤または浮腫を示唆する白い高信号域が認められる。左前頭葉の信号は境界が非常に明瞭であり,腫瘤を示唆する。造影剤を使用しても増強されない。低悪性度(グレードII)乏突起膠腫である。
Image courtesy of William R.Shapiro, MD.