キーンベック病(X線斜位像)
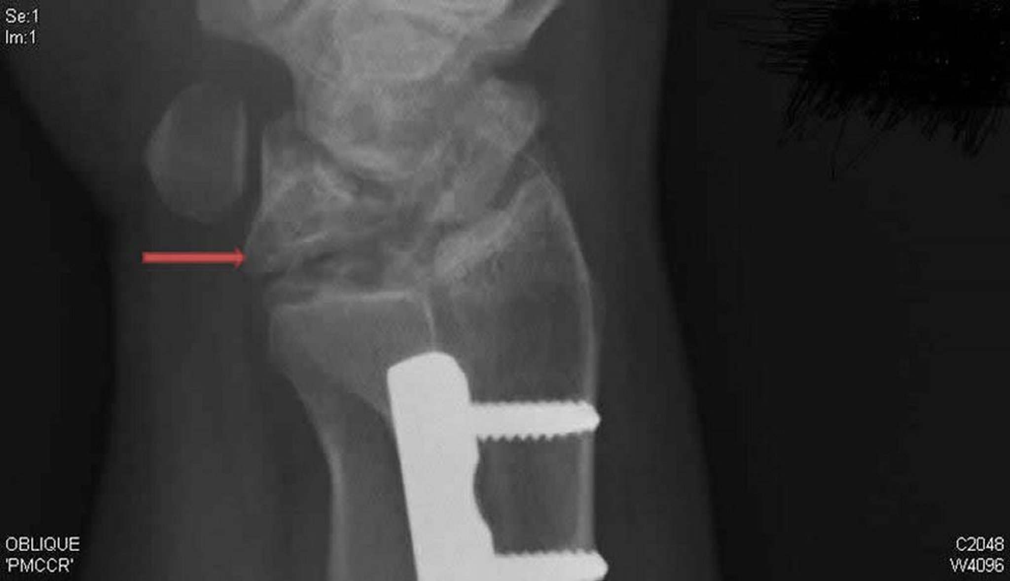
右手関節を写したこのX線斜位像には,キーンベック病が示されている。後前像では明確でなかった月状骨の圧潰および断片化(矢印)に注目すること。
Radiograph courtesy of David R.Steinberg, MD.
関連するトピック
右手関節を写したこのX線斜位像には,キーンベック病が示されている。後前像では明確でなかった月状骨の圧潰および断片化(矢印)に注目すること。
Radiograph courtesy of David R.Steinberg, MD.