ランゲルハンス細胞組織球症(LCH)は,臓器へ局所性またはびまん性で浸潤した樹状単核球の増殖性疾患である。大半の症例は,小児にみられる。症状として,肺浸潤,骨病変,発疹のほか,肝臓,造血,内分泌の機能障害がみられる場合がある。診断は生検に基づく。予後不良の予測因子として,年齢2歳未満と播種があり,特に造血系,肝臓,脾臓,またはこれら複数の部位への播種が重要である。治療法としては,支持療法に加え,化学療法または病変の範囲により適応となる手術もしくは放射線療法による局所療法がある。
(肺ランゲルハンス細胞組織球症も参照のこと。)
ランゲルハンス細胞組織球症(LCH)は,樹状細胞(抗原提示細胞)疾患である。この疾患は,歴史的に好酸球性肉芽腫,ハンド-シューラー-クリスチャン病,およびレテラー-ジーベ病の名称で報告されてきた特有な臨床症候群を引き起こすことがある。これらの症候群は,同じ基礎疾患でも症状が異なることがあり,LCHの大半の患者には,これらのうち複数の症候群による症状がみられることから,現在,個々の症候群の名称(好酸球性肉芽腫を除く)には,もっぱら歴史的な意義しかない。LCHの推定有病率は非常に幅広い(例,約1:50,000から1:200,000)。発生率は小児100万人当たり5~8例である。
全てのLCH患者でRAS-RAF-MEK-ERKシグナル経路の活性化を示唆する所見が認められる(1)。LCH患者の50~60%でBRAFV600E変異が同定される。この変異は単一アレルのみにみられ,支配的なドライバーがん遺伝子のように振る舞う。約10~15%の患者にMAP2K1変異がみられる。これらの変異のために,LCHは現在,がん遺伝子により引き起こされる骨髄系の悪性腫瘍とみなされている。
LCHでは,異常に増殖した樹状細胞が1つまたは複数の臓器に浸潤している。骨,皮膚,歯,歯肉組織,耳,内分泌器官,肺,肝臓,脾臓,リンパ節,および骨髄に浸潤することがある。臓器は,機能障害をもたらす浸潤,または隣接した腫大構造からの圧迫により影響を受けることがある。約半数の患者では,複数の臓器に浸潤がみられる。
総論の参考文献
1.Allen CE, Merad M, McClain KL: Langerhans-cell histiocytosis.N Engl J Med 379(9):856–868, 2018.doi: 10.1056/NEJMra1607548
ランゲルハンス細胞組織球症の症状と徴候
ランゲルハンス細胞組織球症の症状および徴候は,浸潤が認められる臓器によって大幅に異なる。
臓器病変に基づいて以下の2つのグループに分けられる:
単一臓器型
多臓器型
単一臓器障害は,以下のいずれかの臓器における単巣性または多巣性病変である:骨,皮膚,リンパ節,肺,中枢神経系,またはその他のまれな部位(例,甲状腺,胸腺)。単一臓器障害の例は,好酸球性肉芽腫症である。
多臓器障害は,2つ以上の器官系における疾患である。リスク臓器(病変が予後不良の予兆となる臓器)には,肝臓,脾臓,および造血系の臓器があり,罹患している場合も,罹患していない場合もある。 リスク臓器に病変がない多臓器障害の例は,ハンド-シューラー-クリスチャン病である。リスク臓器に病変がある多臓器障害の例は,レテラー-ジーベ病である。
そのため,これらの症候群は,その歴史的な名称により記載されるが,古典的な症状を示す患者は非常に少ないため,好酸球性肉芽腫以外,これらの名称はもはや使用されない。
Image courtesy of Karen McKoy, MD.
好酸球性肉芽腫症(単一臓器障害)
単巣性または多巣性の単一系統の病変(LCH症例の60~80%)は,ほとんどが比較的年長の小児および若年成人にみられ,通常は30歳までに発生する;発生率のピークは5~10歳にある。病変が最も高い頻度でみられるのは骨であり,疼痛,体重支持不能,またはその両方がみられることが多く,圧痛(ときに熱感)を伴う腫脹もみられる。
Congenital self-healing reticulohistiocytosis
Congenital self-healing reticulohistiocytosis(かつてはHashimoto-Pritzker病と呼ばれていた)は,新生児に孤立性の皮膚病変が発生する単一系統の疾患である。病変は一般に自然に消失するか,外用治療に反応する。患者には全身性疾患を除外するための評価を行うべきである。
ハンド-シューラー-クリスチャン病(リスク臓器に病変がない多臓器障害)
この症候群(LCH症例の15~40%)は,2~5歳の小児にみられ,これより年長の一部の小児および成人にも発生する。この全身性疾患の古典的所見には,頭蓋骨,肋骨,骨盤,肩甲骨,またはこれらのうち複数の骨への浸潤がある。長管骨および腰仙椎骨に浸潤する頻度は低い;手関節,手骨,膝関節,足骨,および頸椎への浸潤はまれである。古典的症例として,眼窩腫瘍の腫瘤に起因する眼球突出がある。まれであるが,視神経または眼窩筋への浸潤により視力障害または斜視に至ることがある。歯根尖部および歯肉への浸潤による歯の喪失は,高齢患者に多くみられる。
側頭骨の乳様突起および錐体部への浸潤に起因し,耳道の部分的な閉塞を伴う慢性中耳炎および外耳炎は,かなり多くみられる。扁平骨への浸潤および眼球突出を含む古典的三徴の最後に挙げられる尿崩症は,5~50%の患者にみられ,全身性疾患で眼窩および頭蓋に病変がみられる小児では,この割合が高い。全身性疾患の小児では,最大40%に低身長がみられる。視床下部への浸潤により,高プロラクチン血症および性腺機能低下症を来すことがある。
レテラー-ジーベ病(リスク臓器に病変がある多臓器障害)
この症候群(LCH症例の10%)は全身性疾患で,ランゲルハンス細胞組織球症の中で最も重度である。典型的には,2歳未満の小児で,頭皮,耳道,腹部のほか,頸部および顔面の間擦部位に鱗片状の脂漏性湿疹様で,ときに紫斑性の発疹がみられる。皮膚の表皮が失われると,微生物が侵入しやすくなり,敗血症に至ることもある。高頻度で耳からの排膿,リンパ節腫脹,および肝脾腫がみられ,重症例では,低タンパク血症および凝固因子合成減少を伴う肝機能障害がみられる。食欲不振,易刺激性,発育不良,肺症状(例,咳嗽,頻呼吸,気胸)が生じることもある。有意な貧血がみられ,好中球減少症も散見される;血小板減少症には重要な予後的意義がある。歯の早熟萌出が親から報告されることが多く,実際には歯肉が後退して未熟な歯が露出している。虐待またはネグレクトを受けているように見える患者もいる。
若年性黄色肉芽腫
若年性黄色肉芽腫は,樹状細胞が関連する組織球症症候群であり,通常は皮膚のみを侵し,自然に消失することのある単一または複数の病変を引き起こす。全身が侵される可能性もあり,その場合は肝臓,肺,および/または骨髄を巻き込んだ内臓病変が生じる。皮膚病変の治療には,コルチコステロイドまたはシロリムスの外用薬を使用できる。全身性病変は,ランゲルハンス細胞組織球症で用いられるものと同様の化学療法で治療する。MAPK(mitogen-activated protein kinase)経路の変異が同定されているため,分子標的療法も使用できる。若年性黄色肉芽腫は,まれに神経線維腫症や若年性骨髄単球性白血病に合併することがある。
MID ESSEX HOSPITAL SERVICES NHS TRUST/SCIENCE PHOTO LIBRARY
ランゲルハンス細胞組織球症の診断
生検
原因不明の肺浸潤,骨病変,眼の異常,または頭蓋顔面異常を認める患者(特に若年患者),および典型的な発疹または重度の原因不明の多臓器疾患を有する2歳未満の小児では,ランゲルハンス細胞組織球症が疑われる。
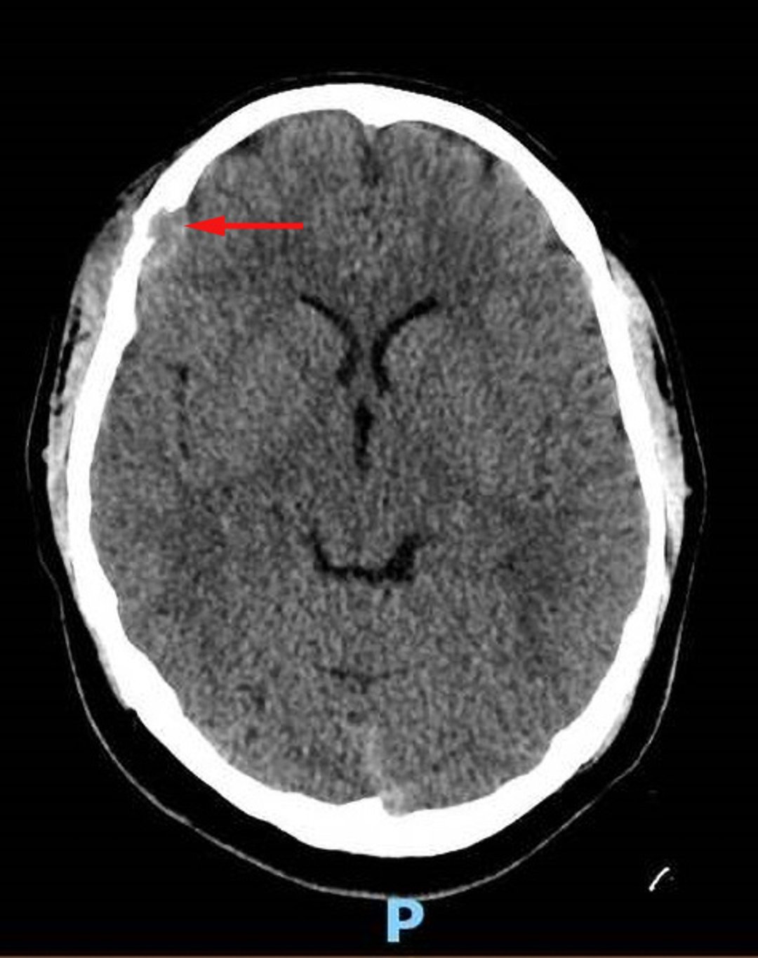
By permission of the publisher. From Swearingen B, Schaefer P, Primavera J, Klibanski A.In Atlas of Clinical Endocrinology: Neuroendocrinology and Pituitary Disease.Edited by S Korenman (series editor) and ME Molitch. Philadelphia, Current Medicine, 2000.
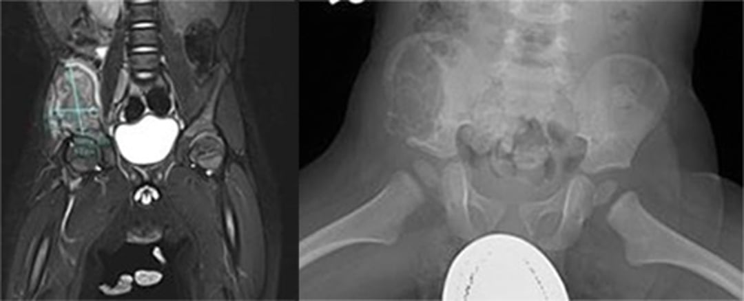
Image courtesy of Carolyn Fein Levy, MD, and Jeffrey M.Lipton, MD, PhD.
Images courtesy of Carolyn Fein Levy, MD, and Jeffrey M.Lipton, MD, PhD.
症状があるため,X線検査を実施することが多い。通常の骨病変は,境界が明瞭な円形または楕円形で,端部が傾斜して奥行きがあるように見える。ただし,X線像では,ユーイング肉腫,骨肉腫,その他の良性および悪性疾患,または骨髄炎と区別できない病変もある。
診断は生検に基づく。古い病変を除き,通常はランゲルハンス細胞が多数を占めている。これらの細胞は,LCHの診断経験が豊富な病理医により,細胞表面上のCD1a,CD207(langerin),およびS-100(ただし非特異的)を含む免疫組織化学的特徴に従って同定される。腫瘍組織を検査して,BRAFV600E変異とその他のMAPK経路の変異を検索すべきである。診断が確定した時点で,適切な画像検査および臨床検査によって疾患の範囲を判定しなければならない。
病変の拡がりを確定するために使用する臨床検査には以下を含める:
血算と白血球分画
包括的な生化学検査
凝固検査
早朝の尿検査
以下を含む画像検査:
胸部X線を含む全身骨X線検査
腹部の超音波検査
脳MRI(下垂体を評価するため)
脊椎MRI
頭蓋のMRIまたはCT(側頭骨病変を検索するため)
眼窩のMRIまたはCT(顔面骨病変を検索するため)
胸部CT(胸部X線で異常を認めた場合)
腹部のCTまたはMRI(診察で肝脾腫が明らかになったか肝機能検査で異常を認めた場合)
利用可能であればPET/CT(全身骨X線検査で明らかにならない骨病変を同定できるため)
ランゲルハンス細胞組織球症の予後
一般に,単一臓器障害(単巣性,多巣性,および中枢神経系リスク病変)の患者とリスク臓器に病変がない多臓器障害の患者は,低リスクとみなされる。リスク臓器に病変がある多臓器障害の患者は高リスクとみなされる。
以下の両方に該当するランゲルハンス細胞組織球症患者は予後良好である:
病変が皮膚,リンパ節,または骨に限局している
2歳以上
多系統に浸潤を認める患者では,合併症発生率と死亡率が高く,特に以下に該当する患者で高い:
2歳未満
リスク臓器(造血系,肝臓,または脾臓)に病変あり
頬骨弓,蝶形骨,眼窩,篩骨,または側頭骨の病変は,中枢神経系リスク病変に分類され,頭蓋および顔面における神経変性疾患のリスクが高い。
治療により,リスク臓器に病変がない多臓器障害を有する患者の全生存率は100%であるが,イベントフリー生存率は約70%である。臓器病変があり,初回治療に反応を示さない患者でも,死亡はまれである。疾患再発が多くみられる。特に成人では,慢性的に寛解と増悪を繰り返すことがある。
BRAFV600E変異を有する患者は再発しやすいことを示唆したエビデンスもある。
ランゲルハンス細胞組織球症の治療
支持療法
ときに下垂体機能低下症(尿崩症が最も多い)に対するホルモン補充療法
多臓器病変,単一臓器病変,および頭蓋底などの特定部位の病変に対する化学療法
ときに手術,コルチコステロイド注射,またはまれに放射線療法(通常は単巣性骨病変に対して施行)
一般的な支持療法が不可欠であり,耳,皮膚,歯の病変が拡大しないように周到な衛生管理を含めることがある。重度に侵された歯肉組織では,デブリドマンまたは切除により口腔病変の拡大が抑えられる。頭皮の脂漏様皮膚炎は,セレンを基剤とするシャンプーで週2回洗髪することで軽減する場合がある。洗髪で効果がない場合は,少量の外用コルチコステロイドを小さな領域に短期間使用する。
全身性疾患の患者では,心理社会的支援が必要になる場合がある心理的問題に加えて,整容上または機能上の問題になる整形外科および皮膚疾患や神経病変など,慢性の身体障害に対するモニタリングを行う。
多くの患者が尿崩症または他の下垂体機能低下症の症状に対してホルモン補充を必要とする。
多臓器障害,単一臓器の多巣性病変,および頭蓋病変(頬骨弓,眼窩,蝶形骨,側頭骨,および篩骨を含む)などの特定部位の病変を有する患者は,化学療法の適応となる(1, 2)。Histiocyte Societyが主導するプロトコルが使用されているが,治療プロトコルはリスクカテゴリーに応じて異なる。治療に対する反応を評価するため,6週目と12週目に画像検査を繰り返す。良好な反応が得られた患者は治療を継続する(3)。治療に対する反応が不良であるか,治療中に進行がみられた患者には,より集中的な治療を行うべきである。反応不良の患者に対しては,早期の積極的救済を目指すプロトコルが検討されている。
単一骨の病変には,局所手術,コルチコステロイド注射,掻爬のほか,まれに放射線療法が用いられる。これらの治療は,ランゲルハンス細胞組織球症の治療経験が豊富な専門医が施行すべきである。危険のない部位で容易に近づける病変に対しては,外科的掻爬術を施行する。重大な美容的変化,整形外科的変形,または機能喪失をもたらす恐れがある場合は,手術を避けるべきである。
歴史的に放射線療法は,骨格変形,眼球突出による視力障害,病的骨折,椎体圧壊,もしくは脊髄損傷のリスクがある患者,または疼痛が重度の患者に対して,ときに施行されることがあった。しかしながら,化学療法および分子標的薬の使用により,これらが必要になることはまれである。
ランゲルハンス細胞組織球症の患者が標準治療を受けたにもかかわらず増悪した場合,通常はより侵襲性の高い化学療法で反応がみられる。サルベージ化学療法で反応がみられない患者では,強度縮小造血幹細胞移植,探索的化学療法,または免疫抑制療法もしくは他の免疫調節療法が施行可能である。BRAFV600E変異を有する患者で複数のレジメンによる治療が不成功に終わった場合は,BRAF阻害薬(例,ベムラフェニブ,ダブラフェニブ)単独またはMEK阻害薬(例,トラメチニブ)との併用が適応となる可能性があり,それ以外の変異を有する患者にはRAS-RAF-MEK-ERK阻害療法(例,トラメチニブ,コビメチニブ)を考慮することができる(4)。
治療に関する参考文献
1.Minkov M, Grois N, McClain K, et al: Langerhans cell histiocytosis: Histocyte Society evaluation and treatment guidelines.April 2009.
2.Haupt R, Minkov M, Astigarraga I, et al: Langerhans cell histiocytosis (LCH): guidelines for diagnosis, clinical work-up, and treatment for patients till the age of 18 years.Pediatr Blood Cancer 60(2):175–184, 2013. doi: 10.1002/pbc.24367
3.Gadner H, Minkov M, Grois N, et al: Therapy prolongation improves outcome in multisystem Langerhans cell histiocytosis.Blood 121(25):5006–5014, 2013.doi: 10.1182/blood-2012-09-455774
4.Suh JK, Kang S, Kim H, et al: Recent advances in the understanding of the molecular pathogenesis and targeted therapy options in Langerhans cell histiocytosis.Blood Res 56(S1):S65–S69, 2021.doi: 10.5045/br.2021.2021013
要点
ランゲルハンス細胞組織球症(LCH)は,樹状単核球の増殖を伴うもので,1つまたは複数の臓器に浸潤する。
罹患臓器に応じて症状は著しく異なる。
骨病変により疼痛が生じる;頭蓋底の病変により,視力,聴力,および下垂体機能(特に尿崩症が発生)に障害が生じる場合がある。
肝臓,脾臓,リンパ節,および骨髄に障害が及び,予後不良となる場合がある。
1カ所のみの骨病変に対しては,コルチコステロイド注射の併用を問わず,手術または掻爬を用いる。
多臓器,多巣性,および頭蓋底病変には化学療法を用いる。
より詳細な情報
有用となりうる英語の資料を以下に示す。ただし,本マニュアルはこれらの資料の内容について責任を負わないことに留意されたい。
Histiocyte Society: International society for research into treatment of histiocytic diseases
North American Consortium for Histiocytosis: Conducts clinical and translational studies on histiocytosis and supports researchers and clinicians working in the field
