胸膜疾患はアスベスト曝露に特徴的な病態であり,胸膜プラークの形成,石灰化,肥厚,円形無気肺(rounded atelectasis),癒着,胸水,および中皮腫などがある。診断は病歴,および胸部X線またはCT所見に基づく。治療は支持療法による。
(アスベスト関連疾患の概要および環境性および職業性肺疾患の概要も参照のこと。)
アスベストは天然に産出するケイ酸塩の1つのグループであり,その耐熱性および構造特性により,建設および造船の材料,自動車のブレーキ,ならびに一部の繊維製品に有用とされている。アスベストには大きく分けて,蛇紋石(クリソタイルを含む)と角閃石(アモサイト,クロシドライト,アンソフィライト,トレモライト,アクチノライトを含む)の2種類がある。
アスベストは,胸水,胸膜プラーク,胸膜肥厚など,中皮腫以外の胸膜疾患も引き起こす可能性がある。良性のアスベスト関連胸膜疾患は肺実質の石綿肺よりも頻度が高く,一般に曝露量が少なくても発生する。
アスベスト関連胸膜疾患は,曝露歴と典型的な胸部X線またはCT所見により診断する。両側性の胸膜プラークおよび/または横隔膜の石灰化は,アスベストへの曝露にほぼ特有の所見である。胸膜疾患の発見には胸部CTの方が胸部X線より感度が高い。
良性石綿胸水(BAPE)は典型的には片側性で,最初のアスベスト曝露から10年以上後に発生する。胸水の分析から滲出性の病態であることがわかり,その性状は漿液性,漿液血性,または明らかな血性のいずれかである。がんを除外するために診断的評価を行うべきである。BAPEは時間の経過とともに自然に治癒する可能性があり,BAPEだけではがんのリスクを予測することはできない。他のアスベスト関連疾患が発生しないか患者をモニタリングすべきである。
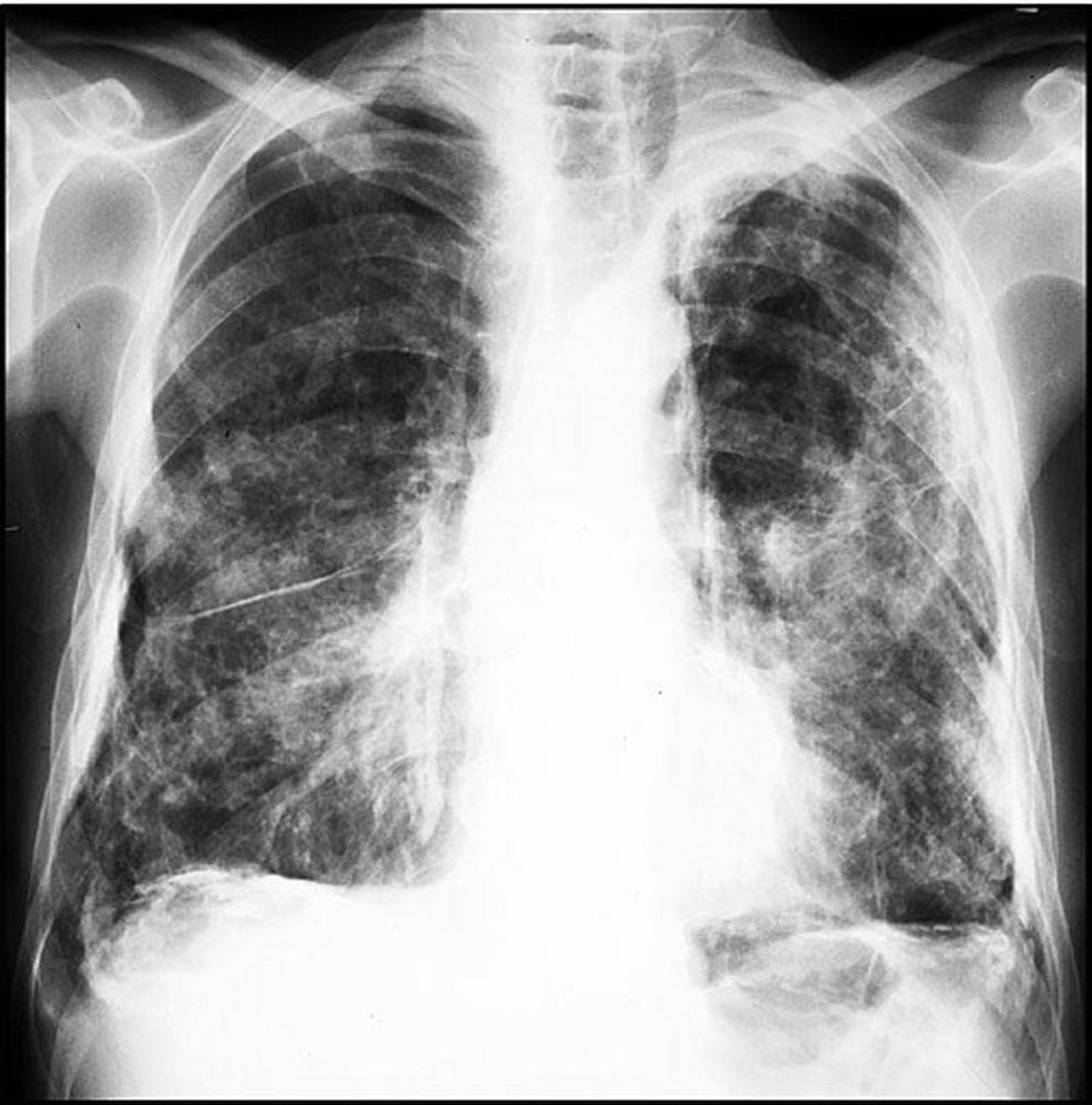
孤立性の胸膜プラークは通常,両側の壁側胸膜および横隔膜に接する領域を侵す。肺尖部および肋骨横隔膜角は侵されない傾向がある。プラークの石灰化がよくみられる。胸部CTにより胸膜疾患を肺実質疾患および胸膜下脂肪と鑑別できる。曝露から胸膜プラークの発生までの潜伏期間は一般に20年以上である。胸膜プラークは有意なアスベスト曝露のマーカーである;したがって,胸膜プラークを有する患者では,他のアスベスト関連疾患が発生しないかモニタリングすべきである。
胸壁および横隔膜の表面に生じた石灰化した胸膜プラーク。
Image courtesy of David W.Cugell, MD.
Image courtesy of David W.Cugell, MD.
びまん性の肥厚は壁側胸膜だけではなく臓側胸膜にも起こり,胸水に対する非特異的反応である可能性がある。びまん性胸膜肥厚は拘束性障害を引き起こすことがあり,症状を伴うことがある。
円形無気肺(rounded atelectasis)は胸膜肥厚の良性の病態であり,胸膜が実質へ陥入して肺組織をとらえ込み,無気肺を起こす。胸部X線および胸部CTでは,円形無気肺(rounded atelectasis)がしばしば下肺野に,通常曲線状の瘢痕様腫瘤としてみられるため,肺癌と鑑別すべきである。



