グッドパスチャー症候群は,肺腎症候群の亜型であり,血中の抗糸球体基底膜抗体(抗GBM抗体)によって引き起こされる肺胞出血および糸球体腎炎から成る自己免疫症候群である。グッドパスチャー症候群は,遺伝的感受性を有する喫煙者に最も多く発生するが,炭化水素の吸入曝露およびウイルス性呼吸器感染症もまた誘因となる可能性がある。症状は,呼吸困難,咳嗽,疲労,喀血,および血尿である。グッドパスチャー症候群は喀血または血尿のある患者において疑われ,血中または腎生検の検体中に抗GBM抗体が存在することにより確定される。呼吸不全または腎不全を発症する前に治療が開始されれば,予後は良好である。治療法としては,血漿交換,コルチコステロイド,免疫抑制薬(例,シクロホスファミド)などがある。
(肺腎症候群も参照のこと。)
グッドパスチャー症候群の病態生理
グッドパスチャー症候群は,肺胞出血を伴う糸球体腎炎および抗GBM抗体の組合せから成る病態である。グッドパスチャー症候群は,びまん性肺胞出血と糸球体腎炎の併発として発現することが最も多いが,ときに糸球体腎炎(10~20%)または肺疾患(10%)がそれぞれ単独で発生することもある。女性よりも男性が罹患することが多い。
抗GBM抗体はIV型コラーゲンのα3鎖の非コラーゲン(NC-1)ドメインを標的にしており,IV型コラーゲンは腎および肺の毛細血管の基底膜内に最も高濃度に生じる。
環境曝露(喫煙が最も一般的であり,ウイルス性の上気道感染症および炭化水素溶剤の吸入は比較的頻度が低い)により,遺伝的に感受性のある個人(最も顕著なのは,HLA-DRw15,HLA-DR4,およびHLA-DRB1アレルを有する個人)において,肺胞毛細血管の抗原が血中の抗体に曝露される。血中の抗GBM抗体は基底膜に結合し,補体と結合し,細胞媒介性炎症反応を誘発し,糸球体腎炎,肺毛細血管炎,またはその両方を引き起こす。
グッドパスチャー症候群の症状と徴候
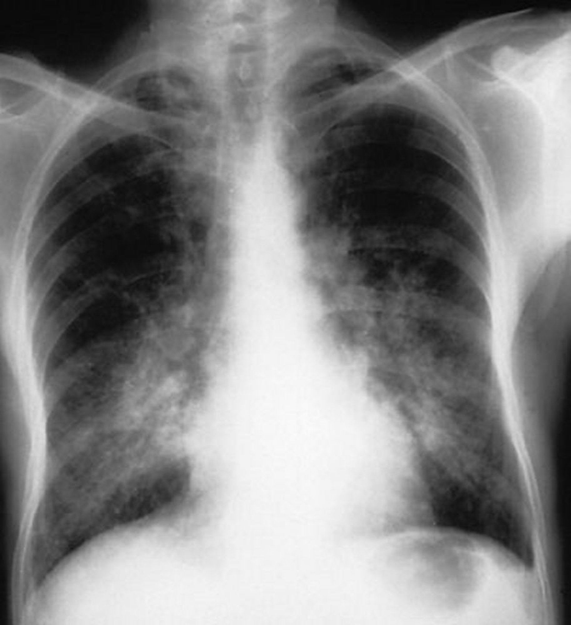
喀血が最も顕著な症状である;しかしながら,肺胞出血がある患者に喀血が生じないこともあり,胸部X線上の浸潤影のみである場合もあれば,浸潤影に加えて呼吸窮迫,呼吸不全,またはその両方を呈することもある。
その他の一般的な症状としては,以下のものがある:
咳嗽
呼吸困難
疲労
発熱
血尿
体重減少
By permission of the publisher. From Cohen A, Glassock R.In Atlas of Diseases of the Kidney: Glomerulonephritis and Vasculitis.Edited by R Schrier (series editor), RJ Glassock, and AH Cohen.Philadelphia, Current Medicine, 1999.
最大で患者の40%に肉眼的血尿を認めるが,肺出血は週単位から年単位で腎症状に先行しうる。
徴候は長期にわたって変化し,聴診においては,澄んだ肺音から断続性ラ音および類鼾音まで様々である。一部の患者では腎不全による末梢浮腫および貧血による蒼白がみられる。
グッドパスチャー症候群の診断
血性抗GBM抗体検査
ときに腎生検
遺伝子組換え型またはヒトのα3鎖のNC-1ドメインを利用して,間接蛍光抗体法,または可能な場合は直接法である酵素結合免疫吸着測定法(ELISA)により,血清抗GBM抗体の検査を行う。この抗体が存在すれば,診断が確定される。抗好中球細胞質抗体(ANCA)検査が(周辺型[peripheral pattern]で)陽性となるのはグッドパスチャー症候群の患者の25%のみである。
抗GBM抗体がない患者に糸球体腎炎の徴候(尿検査で血尿,タンパク尿,赤血球円柱を認める,腎機能不全,またはこれらの所見の組合せがある)を認める場合,診断確定のために腎生検が適応となる。グッドパスチャー症候群およびその他全ての肺腎症候群の原因を有する患者において,生検標本に半月体形成を伴う急速進行性の巣状分節性壊死性糸球体腎炎が認められる。腎組織または肺組織の蛍光抗体染色は,典型的に糸球体毛細血管または肺胞毛細血管に沿ったIgGの線状沈着を示す。IgGの沈着は,糖尿病または細線維性糸球体腎炎(fibrillary glomerulonephritis[肺腎症候群の原因となるまれな疾患])の患者の腎でも起こるが,これらの疾患における抗体の糸球体基底膜への結合パターンは非特異的であり,線状には生じない。
グッドパスチャー症候群の予後
グッドパスチャー症候群はしばしば急速に進行し,迅速な認識および治療が行われなければ致死的となりうる。呼吸不全または腎不全を発症する前に治療が開始されれば,予後は良好である。長期的な病態は,診断時の腎障害の程度に関連している。緊急透析を必要とする患者および,生検標本で > 50%の半月体形成がみられる患者(しばしば透析が必要となる)の生存期間は,腎移植を行わなければ通常2年未満である。
喀血は疾患の早期発見につながるため,予後良好の徴候である可能性がある;少数派であるANCA陽性患者の方が治療に対してよく反応する。少数の再発例がみられ,喫煙の継続および呼吸器感染に関連する。末期腎不全で腎移植を受ける患者では,移植腎に疾患が再発する可能性がある。
グッドパスチャー症候群の治療
血漿交換
コルチコステロイドおよびシクロホスファミド
肺出血および呼吸不全を有する患者の救急救命では気道管理が鍵となる;気管挿管および機械的人工換気は,動脈血ガスの測定値が境界値であり切迫した呼吸不全の症候がある患者に推奨される。著しい腎障害がある患者は透析または腎移植を必要とすることがある。
治療は,抗GBM抗体除去のため,4Lの置換液を用いた血漿交換を2~3週間にわたり毎日または隔日で行い,また新たな抗体の生成を防ぐため,コルチコステロイド(通常,メチルプレドニゾロン1gを20分かけて静注,1日1回または隔日で3回分)に続いてプレドニゾン(1mg/kg,経口1日1回を3週間,その後20mg,経口1日1回に減量し6~12カ月)およびシクロホスファミド(2mg/kg,経口または静注1日1回を6~12カ月)を併用する。肺機能および腎機能の改善が停止した場合は,用量を漸減することがある。
シクロホスファミドによる重度の有害作用が生じた患者またはシクロホスファミドによる治療を拒否する患者の一部で,リツキシマブが使用されることがあるが,グッドパスチャー症候群の患者におけるこの薬剤の効果は研究されていない。
要点
グッドパスチャー症候群の患者では,肺胞出血および糸球体腎炎が併発することもあれば,どちらかが単独でみられることもある。
肺所見は軽度または非特異的なことがある。
抗糸球体基底膜抗体に対する血清学的検査を行う。
患者に糸球体腎炎があれば腎生検を行う。
臓器不全が起こる前に,いつでも可能な時にグッドパスチャー症候群の診断および治療を行う。
血漿交換,コルチコステロイド,およびシクロホスファミドにより治療する。
