心臓ペースメーカー

執筆者:L. Brent Mitchell, MD, Libin Cardiovascular Institute, University of Calgary
Reviewed ByJonathan G. Howlett, MD, Cumming School of Medicine, University of Calgary
レビュー/改訂 修正済み 2025年 2月
v21365841_ja
意見 同じトピックページ はこちら

不整脈を治療するかどうかの決定は,その症状と潜在的な重症度に依存する。治療は原因に対して行う。必要に応じて,抗不整脈薬カルディオバージョン/電気的除細動植込み型除細動器(ICD),ペースメーカー(および特殊な形態のペーシング,心臓再同期療法),カテーテルアブレーション手術,またはこれらの併用などによる直接的な抗不整脈療法が用いられる。

ペースメーカーは電気的イベントを感知し,必要な状況で反応して心臓に電気刺激を与える(1)。恒久型ペースメーカーのリードは開胸下または経静脈的に留置されるが,緊急用の一時的ペースメーカーのリードは胸壁に留置することが可能である。ペースメーカーの機能は植込み型除細動器(ICD)にも組み込まれている。

ペースメーカー
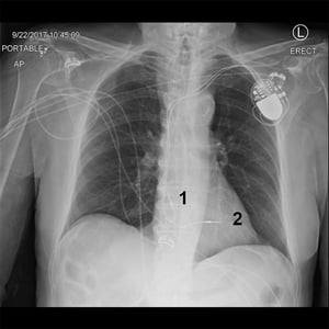
ペースメーカーを装着している患者の胸部X線

このX線写真には,左上胸部にペースメーカーがあり,右房(1)および右室(2)にリードが留置されている患者が写っている。

このX線写真には,左上胸部にペースメーカーがあり,右房(1)および右室(2)にリードが留置されている患者が写っている。

© 2017 Elliot K.Fishman, MD.

植込み型ペースメーカー

ペースメーカー留置の適応

ペースメーカー留置の適応は多数あるが(),一般的には症候性の徐脈または高度房室ブロックが関係する病態である。一部の頻拍性不整脈は,より速いレートで短時間のペーシングを行うオーバードライブペーシングにより停止できることがあり,その後はペースメーカーのレートを望ましい水準まで低下させる。しかしながら,心室性頻拍性不整脈の治療には,ペーシングのほかにカルディオバージョンおよび除細動も可能な機器(植込み型除細動器)の方がより優れている。

表&コラム
表&コラム

心臓ペースメーカーのタイプ

ペースメーカーのタイプは3~5個の文字で示され(の表を参照),それらの文字は,ペーシングする心腔,センシングする心腔,センシングイベントに対するペースメーカーの反応(ペーシングの抑制または誘発),労作中のペース増加の可否(レート変調),および多部位ペーシングの可能性(両心房,両心室,または1つの心腔に複数のペーシングリード)を表している。例えば,VVIRペースメーカーは心室のイベントをペーシング(V)およびセンシング(V)し,センシングされたイベントに反応してペーシングを抑制(I)して,労作中はレートを増加させることができる(R)。

VVIおよびDDDペースメーカーが最も頻用されている。これらは同等の延命効果をもたらす。VVIペースメーカーと比較して,生理的ペースメーカー(AAI,DDD,VDD)は心房細動(AF)および心不全のリスクを低下させ,生活の質をわずかに改善させるようである。

最近のペースメーカーには,低エネルギー回路,新しい電池設計,ステロイド溶出リード(ペーシングの閾値を低下させる)が組み込まれており,いずれもペースメーカーの寿命延長につながっている。モード切替えとは,センシングイベントに反応してペーシングのモードを自動的に変更することである(例,AF時はDDDRからVVIRへ)。リードレス心室ペースメーカーは,一体化したパルスジェネレーターとリードで構成され,それらは右室内に完全に収納される。このペースメーカーは,特別に設計されたデリバリーシステムを用いて経静脈的に留置され,スクリューまたはタインによって右室内に留置される。現在使用されているリードレスペースメーカーは,大きさが約1mL,重量が2gで,構成はVVIまたはVVIRである(2)。

表&コラム
表&コラム

ペースメーカー使用の合併症

ペースメーカーは以下の誤作動を起こすことがある:

  • イベントを過剰に検出する(オーバーセンシング)

  • イベントを見逃す(アンダーセンシング)

  • ペーシングしない

  • キャプチャーしない

  • 異常なレートでペーシングする

頻拍が特によくみられる合併症である。レート変調型ペースメーカーでは,振動,筋肉活動,MRIの磁場などにより誘発される電位に反応して刺激が増大することがある。ペースメーカー起因性頻拍では,正常に機能しているデュアルチャンバーペースメーカーが(房室結節または逆行性副伝導路を介して)心房に伝導される心室性期外収縮またはペーシング拍動を感知し,それにより速い反復周期で心室刺激が誘発される。

デバイスが正常に機能した状態でみられる他の合併症としては,デュアルチャンバーペースメーカーの心室チャネルが心房ペーシングの興奮を感知することで心室ペーシングが抑制されるクロストーク抑制や,心室ペーシングが誘発する房室非同期性によって変動性の漠然とした脳症状(例,ふらつき),頸部症状(例,頸部拍動),または呼吸器症状(例,呼吸困難)が引き起こされるペースメーカー症候群などがある。ペースメーカー症候群は,心房ペーシング(AAI),単一リード心房センシング心室ペーシング(VDD),または二腔ペーシング(DDD)による房室同期の回復により管理され,後者が最もよく使用される。

外科用電気焼灼装置やMRIなどの電磁気源はペースメーカーにとって干渉源となるが,ペースメーカーのジェネレーターとリードがMRIの磁場の中に入らなければ,MRIは安全である場合がある。条件付きMRI対応ペーシングシステムはMRIに耐えられる設計になっているが,非使用電極リード(abandoned lead)は,たとえ条件付きMRI対応であっても,MRIの磁場に曝されると危険となる可能性がある。携帯電話およびセキュリティ機器も干渉源となる可能性があり,電話をデバイスの近くに配置するべきではないが,会話をするための通常の使用は問題ない。金属探知機を通過する場合は,患者が立ち止まらない限りはペースメーカーの誤作動は起こらない。

参考文献

  1. 1.Hayes DL, Furman S.Cardiac pacing: how it started, where we are, where we are going. Heart Rhythm 2004;1(5 Suppl):115C-126C.doi:10.1016/j.hrthm.2004.10.023

  2. 2.Sperzel J, Hamm C, Hain A.Leadless pacing.Sondenlose Herzschrittmacher. Herz 2018;43(7):605-611.doi:10.1007/s00059-018-4752-9

quizzes_lightbulb_red
Test your KnowledgeTake a Quiz!
iOS ANDROID
iOS ANDROID
iOS ANDROID