尿細管間質性腎炎

執筆者:Frank O'Brien, MD, Washington University in St. Louis
Reviewed ByNavin Jaipaul, MD, MHS, Loma Linda University School of Medicine
レビュー/改訂 修正済み 2024年 1月
v1057040_ja
意見 同じトピックページ はこちら

尿細管間質性腎炎は,尿細管と間質の原発性損傷であり,腎機能低下をもたらす。急性型はほとんどの場合,薬物アレルギー反応または感染症が原因である。慢性型は,多種多様な原因により発生し,これには遺伝性または代謝性疾患,閉塞性尿路疾患,環境毒素または特定の薬剤およびハーブへの慢性曝露が挙げられる。診断は病歴と尿検査によって示唆され,しばしば生検によって確定される。治療と予後は,病因および診断時の疾患の可逆性の可能性によって様々である。

尿細管間質性疾患の概要も参照のこと。)

尿細管間質性腎炎の病因

尿細管間質性腎炎は原発性のこともあるが,糸球体損傷や腎血管障害によっても同様の病態が起こりうる。

原発性尿細管間質性腎炎は以下の場合がある:

  • 急性(の表を参照)

  • 慢性(の表を参照)

急性尿細管間質性腎炎

急性尿細管間質性腎炎(ATIN)は,炎症性細胞浸潤と浮腫が腎間質に認められ,しばしば数日から数カ月で発生する。症例の95%以上が感染または薬物アレルギー反応に起因する。

ATINは急性腎障害を生じ,重症例,治療遅延または原因薬剤の継続は恒久的な障害および慢性腎臓病をもたらしうる。

急性尿細管間質性腎炎とぶどう膜炎が併発する腎眼症候群も発生し,これは特発性である。

慢性尿細管間質性腎炎

慢性尿細管間質性腎炎(CTIN)は,慢性の尿細管障害による緩徐とした間質の浸潤と線維化,尿細管萎縮と機能障害,および腎機能の通常数年にわたる緩徐な悪化がもたらされた場合に発生する。糸球体の同時関与(糸球体硬化症)はATINに比べCTINにおいて,はるかに一般的にみられる。

慢性尿細管間質性腎炎の原因は多岐にわたり,免疫性疾患,感染,逆流性または閉塞性腎症,薬剤およびその他の疾患などがある。毒性物質,代謝障害,高血圧,および遺伝性疾患に起因するCTINは,対称性かつ両側性に発生し,その他を原因とするCTINでは,腎瘢痕は不均等で一側の腎臓のみが障害されることがある。詳細に検討されているCTINの主な病型としては,以下のものがある:

逆流性腎症および骨髄腫は尿細管間質性障害を引き起こすことがあるが,これらの病態における主要な病理は糸球体疾患である。

遺伝性嚢胞性腎疾患については,本マニュアルの別の箇所で考察されている。

表&コラム
表&コラム
表&コラム
表&コラム

総論の参考文献

  1. 1.Yamaguchi Y, Kanetsuna Y, Honda K, et al: Characteristic tubulointerstitial nephritis in IgG4-related disease.Hum Pathol 43(4):536-549, 2012.doi: 10.1016/j.humpath.2011.06.002

  2. 2.Correa-Rotter R, Wesseling C, Johnson RJ: CKD of unknown origin in Central America: The case for Mesoamerican nephropathy.Am J Kidney Dis 63(3):506-520, 2014.doi: 10.1053/j.ajkd.2013.10.062

尿細管間質性腎炎の症状と徴候

急性尿細管間質性腎炎

急性尿細管間質性腎炎(ATIN)の症候は非特異的となる場合があり,腎不全の症候が現れるまで認められないことが多い。多くの患者が多尿および夜間頻尿を発症する(尿濃縮能およびナトリウム再吸収能の欠損に起因)。

ATINの症状が現れるまでの期間は,毒性物質への最初の曝露から数週間と長い場合もあれば,2回目の曝露から3~5日間と短い場合もあり,潜伏期間は極端に幅が広く,短いものでリファンピシンの1日から,長いものでは非ステロイド系抗炎症薬(NSAID)の18カ月にも及ぶ。薬剤性ATINの早期の臨床像は発熱および蕁麻疹を特徴とするが,薬剤性ATINの古典的な三主徴とされる発熱,発疹,好酸球増多が全てそろう患者は10%未満である。ATINでは腹痛,体重減少,および両側性腎腫大(間質の浮腫に起因する)も生じることがあり,発熱を伴う場合には,誤って腎癌または多発性嚢胞腎の徴候とみなされる可能性がある。末梢浮腫および高血圧は,腎不全が起きた場合を除き,まれである。

慢性尿細管間質性腎炎

慢性尿細管間質性腎炎では,一般に腎不全が発生するまで症候は認められない。浮腫は通常認められず,血圧は正常であるか,早期に軽く上昇するのみである。多尿および夜間頻尿が生じることがある。

尿細管間質性腎炎の診断

  • 危険因子

  • 急性尿細管間質性腎炎(ATIN)では,無菌性膿尿を伴う活動性尿沈渣(active urinary sediment)

  • ときに腎生検

  • 通常は他の原因を除外するための画像検査

臨床所見およびルーチンの臨床検査所見で尿細管間質性腎炎に特異的なものはほとんどない。このため,以下のものが認められる場合は強く疑われる:

  • 典型的な症状または徴候

  • 危険因子,特に発症と原因薬剤候補の使用との時間的関連性

  • 特徴的な尿検査所見,特に無菌性膿尿

  • 中等度のタンパク尿,通常は1g/日未満(ただし非ステロイド系抗炎症薬[NSAID]の使用時を除いて,ネフローゼレベル[3.5g/日]のタンパク尿を来すことがある)

  • 尿細管機能障害の所見(例,尿細管性アシドーシスファンコニ症候群

  • 腎不全の程度と不釣り合いな濃縮障害

好酸球尿は本症を診断または除外する上で信頼できない。その他の検査(例,画像検査)は通常,ATINまたは慢性尿細管間質性腎炎(CTIN)を他の疾患と鑑別する際に必要となる。ATINはしばしば上述の特異的所見に基づいて推定的に臨床診断されるが,確定診断を得るには腎生検が必要となる。

急性尿細管間質性腎炎

尿検査では,赤血球,白血球,白血球円柱などの活動性腎炎症の徴候(活動性尿沈渣[active urinary sediment])が示され,培養で細菌が認められない(無菌性膿尿)のが一般的であり,著明な血尿や変形赤血球はまれである。好酸球尿は従来ATINを示唆すると考えられてきたが,尿中での好酸球の有無は診断に特に有用というわけではない。タンパク尿は通常最小限であるが,NSAID,アンピシリン,リファンピシン,インターフェロンαまたはラニチジンによって誘発されたATINと糸球体疾患の併発ではネフローゼレベルに達する場合がある。

尿細管機能障害の血液検査所見には,低カリウム血症(カリウム再吸収の異常に起因)およびアニオンギャップ正常の代謝性アシドーシス(近位尿細管での重炭酸イオンの再吸収または遠位尿細管での酸の排泄における障害に起因)などがある。IgG4関連疾患または低補体血症を合併した間質性腎炎の患者では,血清総免疫グロブリンG(IgG)および/またはIgG4濃度の高値と血清補体濃度の低値(すなわち,C3またはC4の低値)がみられることがある。

腎生検が不可能な場合は,急性腎障害のその他の原因から急性尿細管間質性腎炎を鑑別する上で,超音波検査,核医学検査,またはその両方が必要になることがある。ATINでは,超音波検査で間質炎症細胞および浮腫のため大きく拡大し,エコー源性を呈する腎が示される場合がある。核医学検査では,放射性核種のガリウム67または放射性標識された白血球が腎に顕著に取り込まれることが示される可能性がある。スキャンでの陽性はATINを強く示唆し,急性尿細管壊死の可能性が低いことを示唆するが,スキャンでの陰性によってはATINは排除されない。

腎生検は通常,以下に該当する患者にのみ施行される:

  • 診断が不確定である

  • 進行性の腎障害がある

  • 原因と考えられる薬剤の中止後も改善がみられない

  • 所見から早期であることが示唆される

  • 薬剤性ATINであり,対応としてコルチコステロイド療法が考慮されている

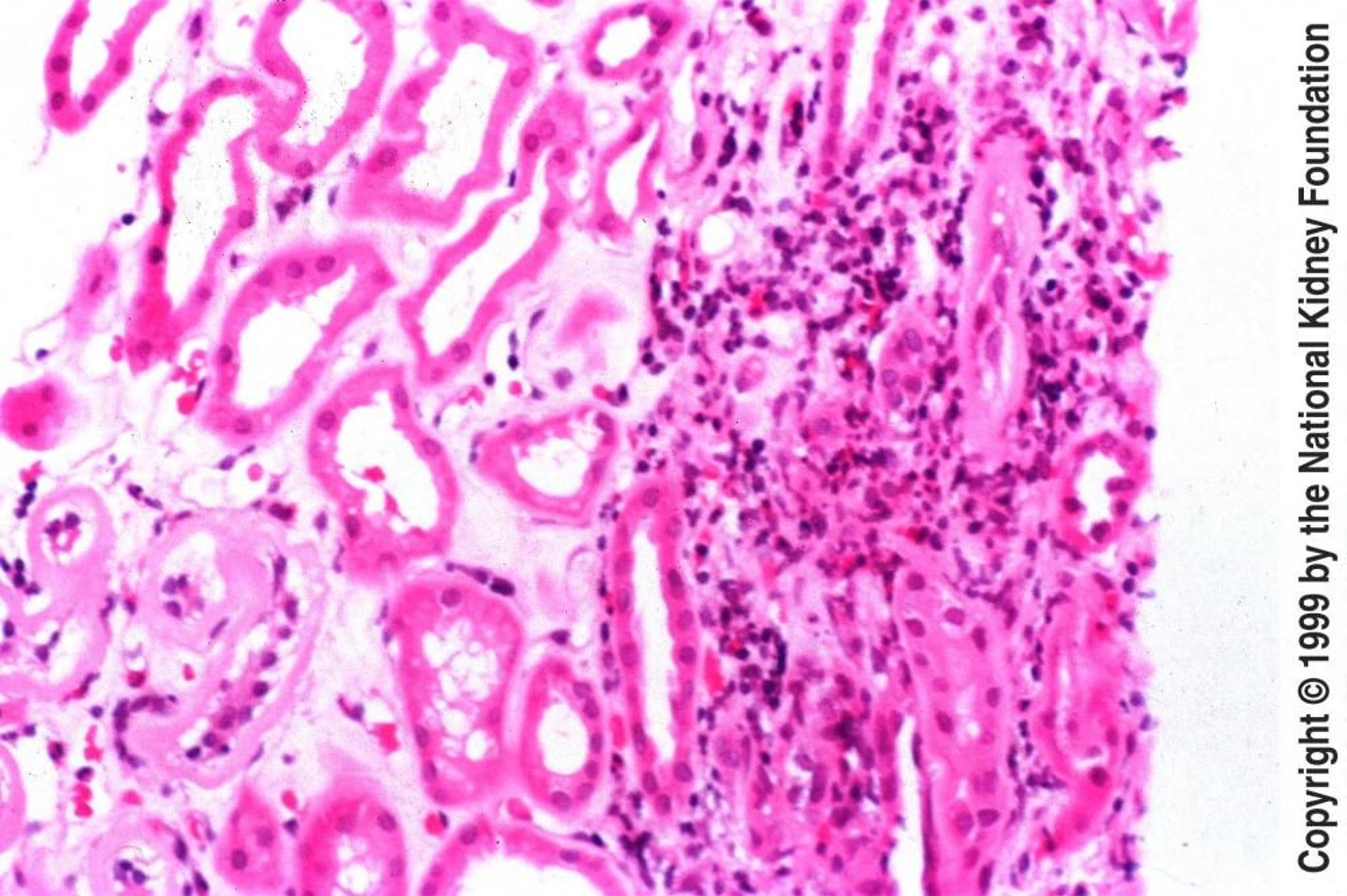
急性尿細管間質性腎炎では通常,糸球体は正常である。最も早期の所見は間質の浮腫であり,典型的にはリンパ球,形質細胞,好酸球と少数の多形核白血球による間質浸潤がそれに続く。重症例では,尿細管基底膜の内側を覆う細胞間の空間への炎症細胞の浸潤が認められ(尿細管炎),その他の検体においては,β-ラクタム系抗菌薬,スルホンアミド系薬剤,抗酸菌,真菌に対する曝露によってもたらされた肉芽腫性反応が認められることもある。非乾酪性肉芽腫の存在はサルコイドーシスを示唆する。腎間質に花筵状線維化(storiform fibrosis)を伴うリンパ形質細胞浸潤が認められる場合は,IgG4関連尿細管間質性腎炎が示唆される。蛍光抗体検査または電子顕微鏡検査では,特徴的な変化を認めることはほとんどない。

慢性尿細管間質性腎炎

CTINの所見は一般にATINのそれと類似するが,尿中の赤血球と白血球はまれである。CTINは潜行性に発症し,間質の線維化がよくみられるため,画像検査では非対称に縮小した腎臓に瘢痕形成の所見を認めることがある。

慢性尿細管間質性腎炎では,腎生検が診断目的で行われることは多くない。しかしながら,別の診断の可能性が考えられる場合は,検討してもよい。糸球体は正常から完全な破壊まで様々である。尿細管は消失または萎縮している場合がある。尿細管管腔の直径は一様でないが,均一な円柱を伴う著明な拡張を呈する場合がある。間質には様々な程度の炎症細胞と線維化が認められる。非瘢痕域はほぼ正常にみえる。肉眼的に,腎は小さく萎縮している。

尿細管間質性腎炎の治療

  • 原因の治療(例,原因薬剤の中止)

  • 免疫介在性およびときに薬剤性急性尿細管間質性腎炎に対するコルチコステロイド

ATINおよびCTINのいずれも治療は原因の管理である。

免疫介在性ATINやときに薬剤性ATINでは,コルチコステロイド(例,プレドニゾン1mg/kg,経口,1日1回,4~6週間かけて漸減)で回復を促進できることがある。

薬剤性ATINでは,コルチコステロイドは原因薬剤の中止から2週間以内に投与した場合に最も効果的である。NSAID誘発性ATINは他の薬剤性ATINと比較してコルチコステロイドに対する反応が低い。コルチコステロイドを開始する前に生検によりATINを確定すべきである。

慢性尿細管間質性腎炎の治療にはしばしば支持療法が必要になり,具体的には血圧コントロールや腎疾患に合併する貧血の治療などがある。CTINおよび進行性腎障害を有する患者では,アンジオテンシン変換酵素(ACE)阻害薬またはアンジオテンシンII受容体拮抗薬(ARB)により疾患の進行が遅延する可能性があるが,高カリウム血症および進行促進の相加的リスクがあるため,これらを併用してはならない。

パール&ピットフォール

  • 慢性尿細管間質性腎炎の患者では,高カリウム血症および進行促進の相加的リスクがあるため,アンジオテンシン変換酵素(ACE)阻害薬とアンジオテンシンII受容体拮抗薬(ARB)を併用してはならない。

尿細管間質性腎炎の予後

急性尿細管間質性腎炎

薬剤性ATINでは,腎機能は原因薬剤の中止後通常6~8週以内に回復するが,一般的に若干の瘢痕が残存する。回復が不完全で,ベースラインを上回る持続性の高窒素血症を伴うことがある。予後は,ATINがNSAIDに起因する場合,他の薬剤に起因する場合と比較して通常不良である。その他の因子がATINの原因である場合は,組織学的変化は原因が認識され除去されれば通常可逆的であるが,一部の重症例では線維化および慢性腎臓病に進行する。原因にかかわらず,不可逆的な損傷が以下のものによって示唆される:

  • 散在性ではなくびまん性の間質浸潤

  • 有意な間質線維化

  • プレドニゾンに対する反応の遅延

  • 3週間以上持続する急性腎障害

慢性尿細管間質性腎炎

CTINにおいては,予後は原因とともに不可逆的な線維化の発生前に進行を認識し阻止できるかに依存する。多数の遺伝性(例,嚢胞性腎疾患),代謝性(例,シスチン症),中毒性(例,重金属曝露の既往)の原因は是正不可能なことがあり,その場合は通常,CTINは末期腎不全に進行する。

要点

  • 慢性尿細管間質性腎炎(CTIN)の原因は多岐にわたり,通常は薬剤に対するアレルギー反応または感染によって引き起こされる急性尿細管間質性腎炎(ATIN)のそれと比べて,はるかに多彩である。

  • 症状はしばしば認められないか非特異的であり,特にCTINでその傾向がある。

  • 診断は危険因子および尿沈渣に基づいて疑い,他の原因を画像検査により除外し,ときに生検により診断を確定する。

  • 原因薬剤を中止し,ほかに原因があれば治療し,支持療法を行う。

  • 生検で確定された免疫性ATINやときに薬剤性ATINをコルチコステロイドで治療する(原因薬剤を中止してから2週間以内)。

quizzes_lightbulb_red
Test your KnowledgeTake a Quiz!
iOS ANDROID
iOS ANDROID
iOS ANDROID