Fratture prossimali dell'omero

(Frattura della spalla)

DiDanielle Campagne, MD, University of California, San Francisco
Reviewed ByDiane M. Birnbaumer, MD, David Geffen School of Medicine at UCLA
Revisionato/Rivisto Modificata mar 2025
v13386770_it
Visualizzazione l’educazione dei pazienti

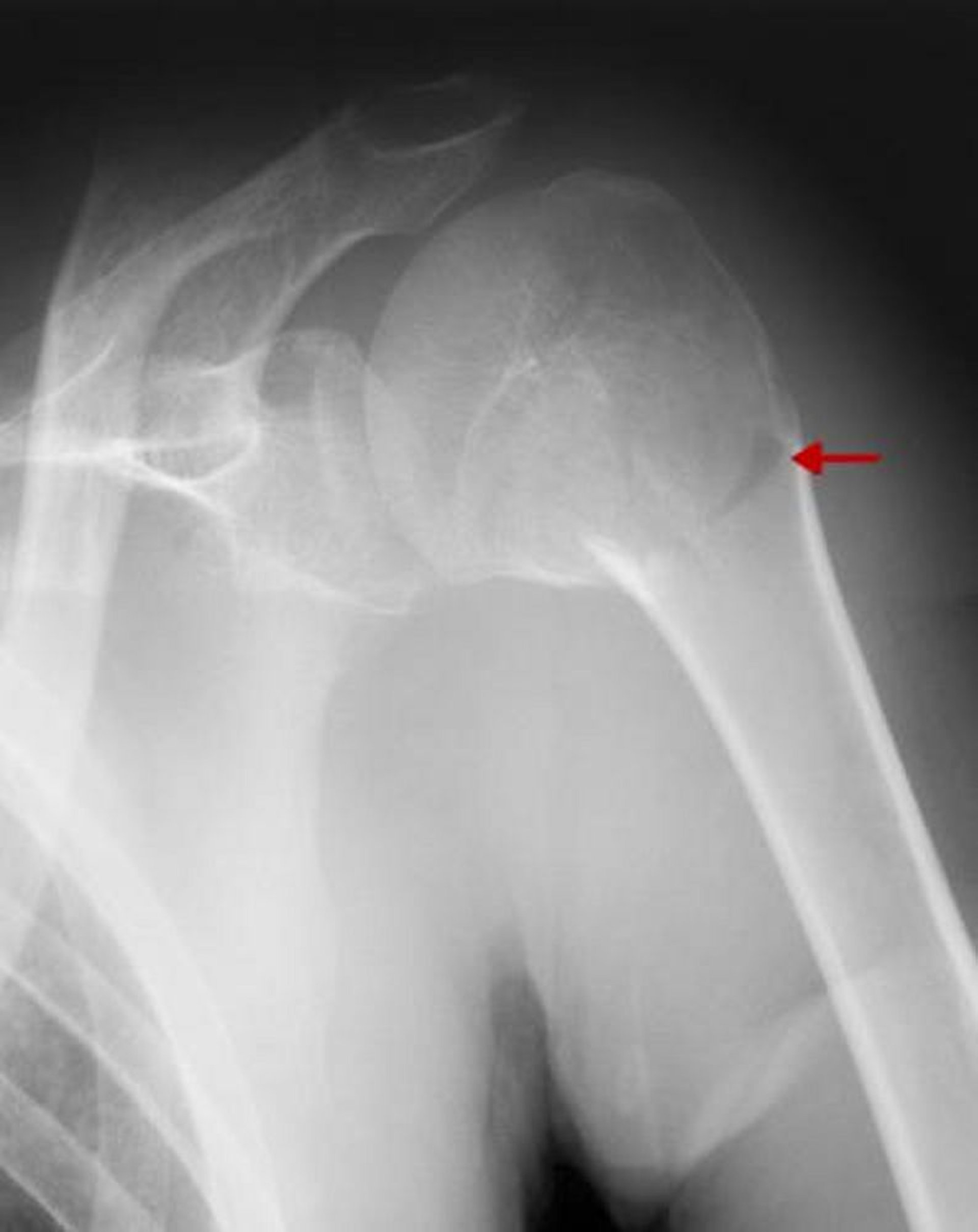
Le fratture prossimali dell'omero interessano la regione prossimale al collo chirurgico omerale (vedi figura Punti di riferimento anatomici principali nell'omero prossimale). La maggior parte sono minimamente spostate e angolate. La diagnosi si basa su radiografia o, talvolta, TC. La maggior parte di queste fratture può essere trattata con un tutore a braccio, una fascia e mobilizzazione precoce.

(Vedi anche Panoramica sulle fratture.)

Le fratture dell'omero prossimale sono particolarmente comuni tra gli anziani. Alcuni pazienti hanno un danno del nervo ascellare (riduzione sensitiva nella regione del medio deltoide) o un danno dell'arteria ascellare. Le retrazioni possono svilupparsi dopo soli alcuni giorni di immobilizzazione, in particolare negli anziani.

Punti di riferimento anatomici principali nell'omero prossimale

Il collo chirurgico dell'omero è fratturato.

Eziologia delle fratture prossimali dell'omero

La maggior parte di queste fratture è il risultato di una caduta su arto teso; più raramente è data da un colpo diretto.

Classificazione

Le fratture sono classificate in base al numero di frammenti ossei presenti; una parte è definita come una struttura anatomica chiave che viene spostata (> 1 cm) o angolata (> 45°) rispetto alla sua posizione anatomica normale. Le 4 strutture anatomiche chiave dell'omero prossimale sono

  • Il collo anatomico

  • Il collo chirurgico

  • La grande tuberosità omerale

  • La piccola tuberosità omerale

Per esempio, se nessun elemento della frattura è scomposto o angolato, la frattura ha un frammento. Se un elemento è angolato o scomposto, la frattura è a 2 frammenti (vedi figura Fratture dell'omero prossimale con uno o due frammenti). La maggior parte delle fratture dell'omero prossimale ha solo un frammento; queste sono generalmente stabili, tenute insieme dalla capsula articolare, dalla cuffia dei rotatori, e/o dal periostio (1). Le fratture con ≥ 3 frammenti sono rare.

Fratture dell'omero prossimale con uno o due frammenti

Se nessun elemento della frattura è scomposto o angolato, la frattura ha un frammento. Se un elemento è angolato o scomposto, la frattura è a 2 frammenti.

Riferimento relativo all'eziologia

  1. 1. Baker HP, Gutbrod J, Strelzow JA, Maassen NH, Shi L. Management of Proximal Humerus Fractures in Adults-A Scoping Review. J Clin Med. 2022;11(20):6140. Published 2022 Oct 18. doi:10.3390/jcm11206140

Sintomatologia delle fratture prossimali dell'omero

La spalla e la parte superiore del braccio sono dolorose e gonfie; i pazienti hanno difficoltà nell'alzare il braccio.

Diagnosi delle fratture prossimali dell'omero

  • Radiografie

  • A volte TC

Le radiografie devono comprendere almeno

  • Una proiezione anteroposteriore vera con braccio intraruotato

  • Una proiezione trans-scapolare a Y (proiezione obliqua)

  • Una proiezione ascellare per valutare l'articolazione gleno-omerale

La TC viene eseguita in caso di fratture complesse o mal visualizzate sulle RX.

Trattamento delle fratture prossimali dell'omero

  • Di solito una fasciatura elastica ed esercizi di mobilizzazione precoce

  • Talvolta, riduzione aperta con fissazione interna o sostituzione protesica

Le fratture a un frammento raramente richiedono una riduzione; la maggior parte (65-80%) viene trattata con un tutore a braccio, a volte con una fascia (vedi figura Immobilizzazione dell'articolazione interessata come trattamento acuto: alcune tecniche comunemente usate) ed esercizi di mobilizzazione precoce, come gli esercizi di Codman (1). Questi esercizi sono utili a tutte le età, ma sono particolarmente utili per gli anziani. Poiché le retrazioni sono un rischio, è preferibile una mobilizzazione precoce, anche se l'allineamento della frattura è anatomicamente imperfetto.

Esercizi di Codman

Il paziente si piega in avanti con il braccio leso che pende perpendicolare al pavimento. Il braccio e la spalla devono essere rilassati, e le ginocchia piegate. I pazienti devono

  • Oscillare lentamente il loro braccio da un lato all'altro, da dietro in avanti, ed in tondo in senso orario e antiorario

  • Spostare il loro peso da un piede all'altro nella stessa direzione dell'oscillazione del braccio

  • Aumentare gradualmente l'arco di movimento tollerato

Il dolore causato da questi esercizi deve essere minimo. I pazienti devono compiere ogni esercizio 2 volte per serie e fare diverse serie al giorno. I pazienti devono aumentare gradualmente la durata degli esercizi.

Le fratture con ≥ 2 frammenti sono immobilizzate e i pazienti vengono inviati a un chirurgo ortopedico. Queste fratture possono richiedere la tecnica di riduzione a cielo aperto con fissazione interna o un intervento di protesizzazione (protesi di spalla).

Riferimento relativo al trattamento

  1. 1. Baker HP, Gutbrod J, Strelzow JA, Maassen NH, Shi L. Management of Proximal Humerus Fractures in Adults-A Scoping Review. J Clin Med. 2022;11(20):6140. Published 2022 Oct 18. doi:10.3390/jcm11206140

Punti chiave

  • Classificare le fratture dell'omero prossimale in base al numero di strutture principali dell'omero (collo anatomico, collo chirurgico, grande tuberosità, trochine omerale) che vengono scomposte o angolate.

  • Quasi l'80% richiede solo un tutore.

  • I pazienti, in particolare gli anziani, devono iniziare una serie di esercizi di movimentazione il più presto possibile.

quizzes_lightbulb_red
Test your KnowledgeTake a Quiz!
iOS ANDROID
iOS ANDROID
iOS ANDROID