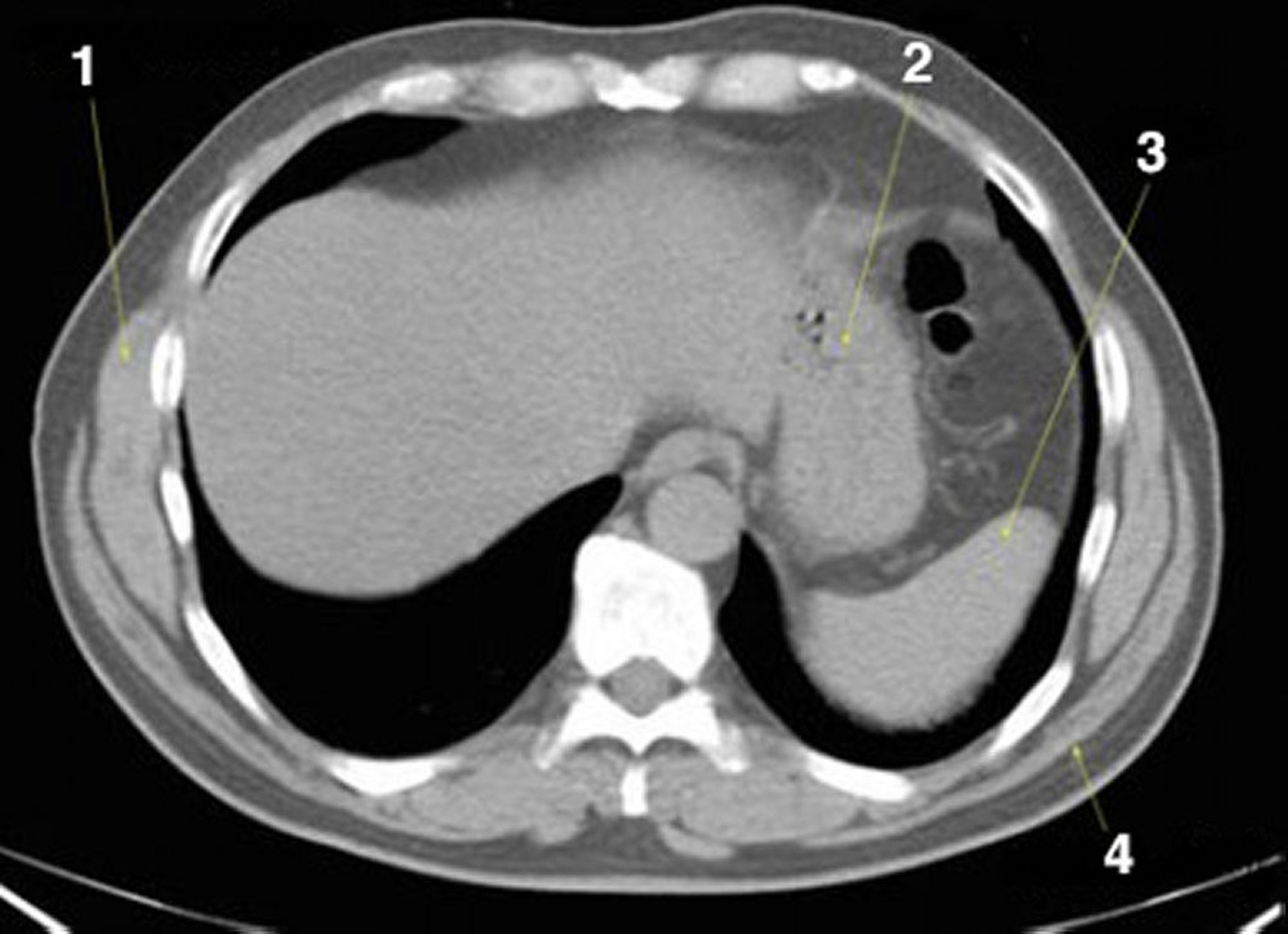
TC senza contrasto dell'addome e della pelvi che mostra un'anatomia normale (Slide 2)
1 = serratus anterior; 2 = stomaco; 3 = milza; 4 = latissimus dorsi.
© Springer Science+Business Media
In questi argomenti
1 = serratus anterior; 2 = stomaco; 3 = milza; 4 = latissimus dorsi.
© Springer Science+Business Media