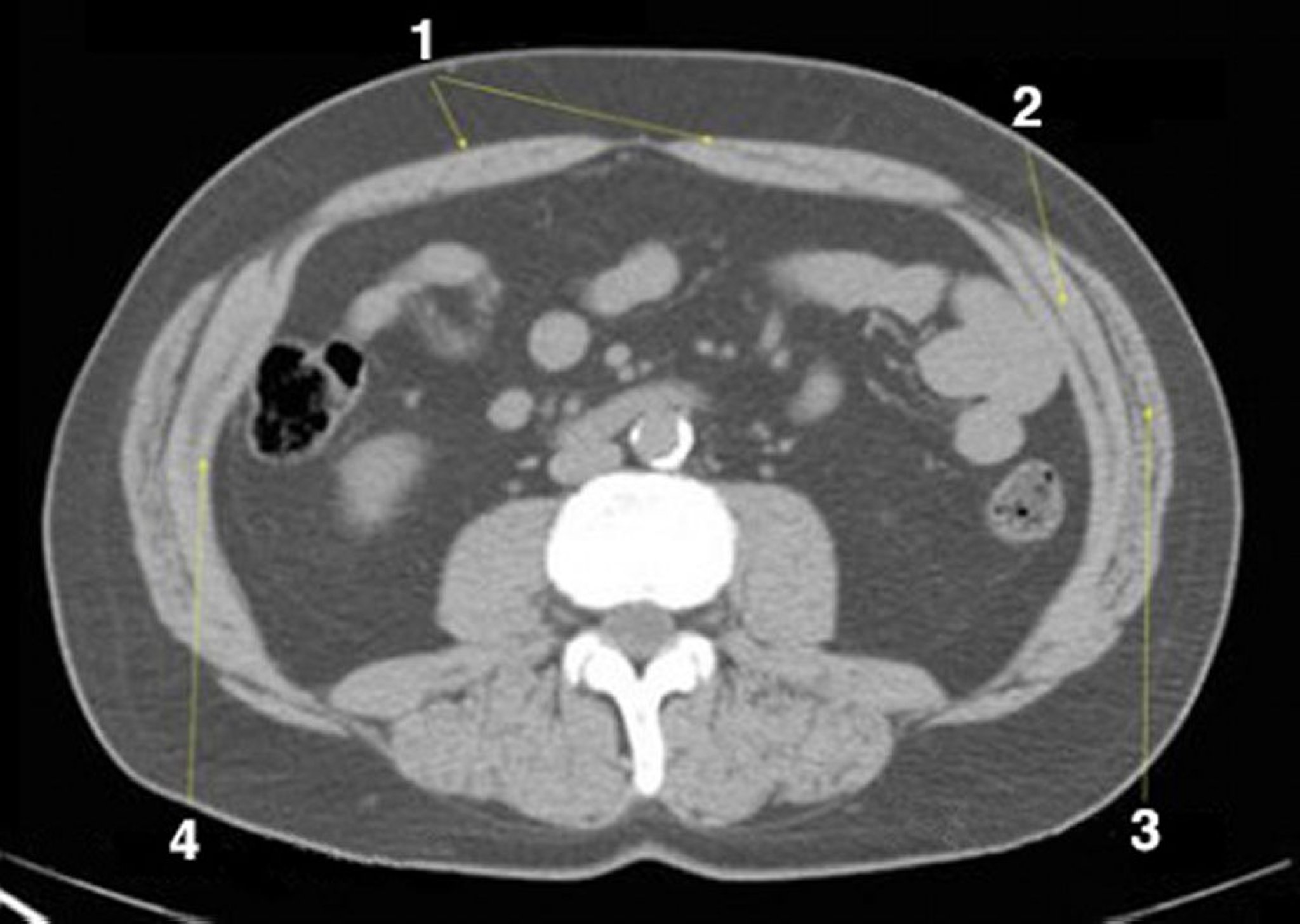
TC senza contrasto dell'addome e della pelvi che mostra un'anatomia normale (Slide 19)
1 = retto addominale; 2 = interno obliquo; 3 = esterno obliquo; 4 = addominale trasversale.
© Springer Science+Business Media
In questi argomenti
1 = retto addominale; 2 = interno obliquo; 3 = esterno obliquo; 4 = addominale trasversale.
© Springer Science+Business Media