TC senza contrasto dell'addome e della pelvi che mostra un'anatomia normale (Slide 16)
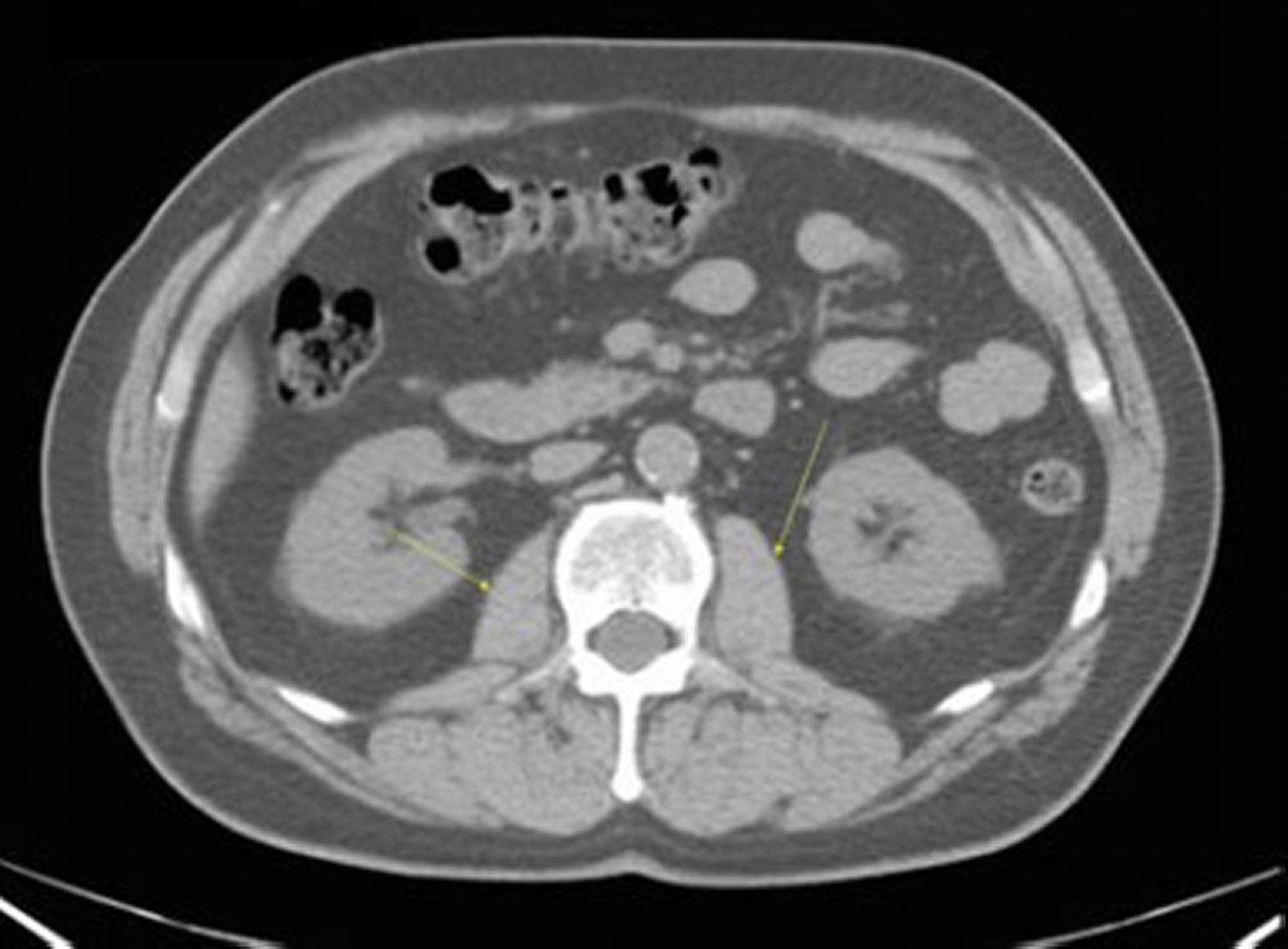
Questa immagine mostra i muscoli psoas (frecce).
© Springer Science+Business Media
In questi argomenti
Questa immagine mostra i muscoli psoas (frecce).
© Springer Science+Business Media