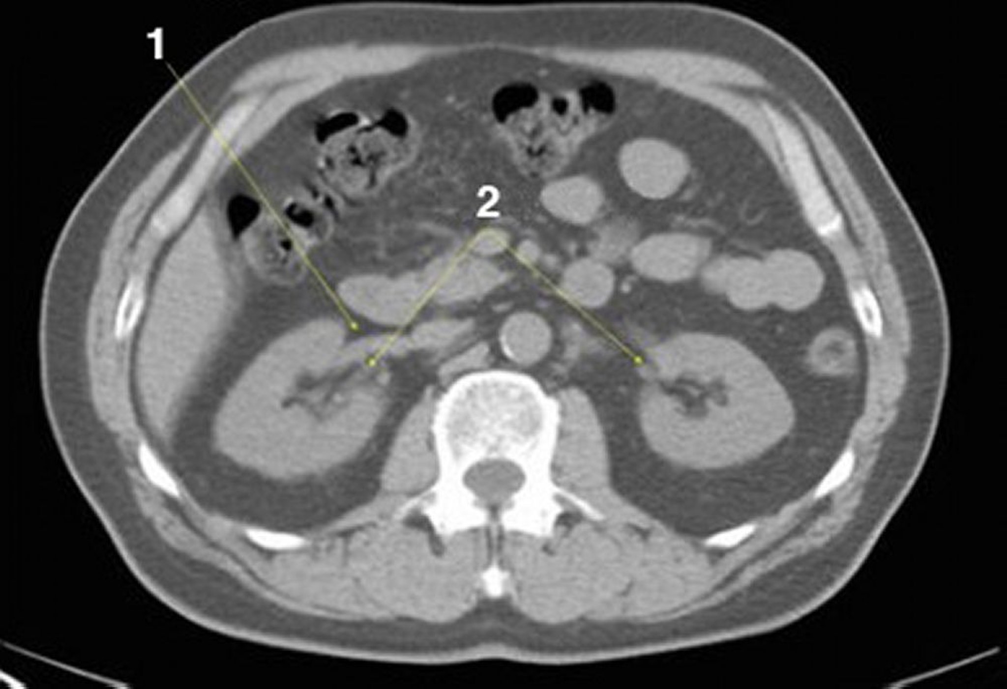
TC senza contrasto dell'addome e della pelvi che mostra un'anatomia normale (Slide 14)
1 = vena renale destra; 2 = reni all'ilo.
© Springer Science+Business Media
In questi argomenti
1 = vena renale destra; 2 = reni all'ilo.
© Springer Science+Business Media