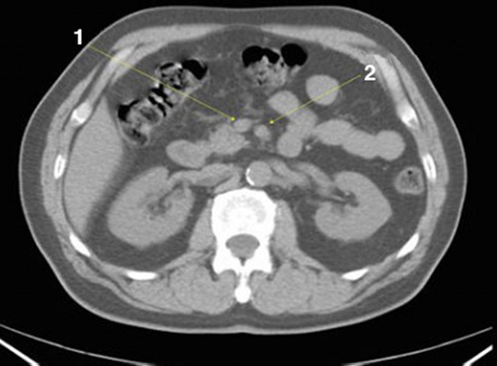
TC senza contrasto dell'addome e della pelvi che mostra un'anatomia normale (Slide 13)
1 = vena mesenterica superiore; 2 = arteria mesenterica superiore.
© Springer Science+Business Media
In questi argomenti
1 = vena mesenterica superiore; 2 = arteria mesenterica superiore.
© Springer Science+Business Media