TC senza contrasto dell'addome e della pelvi che mostra un'anatomia normale (Slide 10)
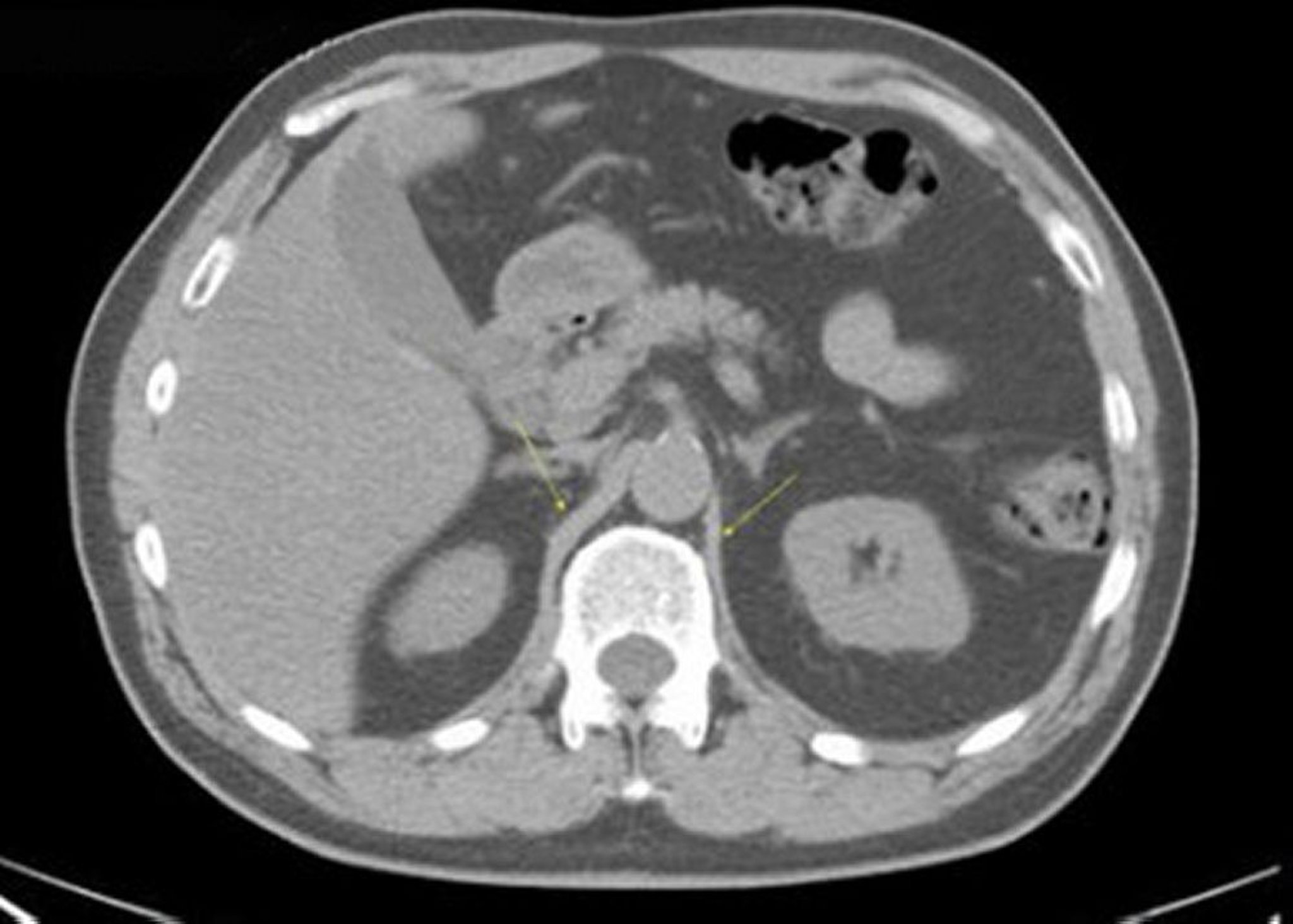
Questa immagine mostra le crura (pilastri) del diaframma (frecce).
© Springer Science+Business Media
In questi argomenti
Questa immagine mostra le crura (pilastri) del diaframma (frecce).
© Springer Science+Business Media