honeypot link
skip to main content
Professionisti
Pazienti
Manuale Msd
Versione per i professionisti
ARGOMENTI DI MEDICINA
RISORSE
COMMENTI
PROCEDURE
QUIZ
INFORMAZIONI
ARGOMENTI DI MEDICINA
RISORSE
<
Immagini
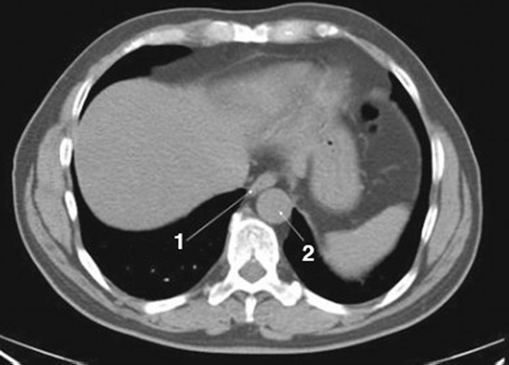
TC senza contrasto dell'addome e della pelvi che mostra un'anatomia normale (Slide 1)
1 = esofago; 2 = aorta.
© Springer Science+Business Media
In questi argomenti
Valutazione del paziente con malattia del tratto gastrointestinale
>